Brp44 rabbit pAb

Brp44 rabbit pAb

Item number: ES5445
Availability: In Stock
$148.00
$148.00
Please hurry! Only 100 left in stock

Documents

Size: 50μL
Subtotal: $148.00
10 customers are viewing this product

Customized & fast shipping

Terms and Conditions

Brp44 rabbit pAb

Brp44 rabbit pAb

$148.00

Brp44 rabbit pAb

$148.00
Size: 50μL
Product weight
0.005kg
Reactivity
Human;Mouse;Rat
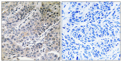
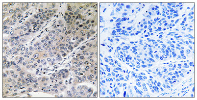
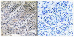
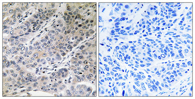
Applications
IHC;IF;ELISA
Source
Rabbit
Recommended dilutions
Immunohistochemistry: 1/100 - 1/300. ELISA: 1/40000. Not yet tested in other applications.
Immunogen
The antiserum was produced against synthesized peptide derived from human BRP44. AA range:31-80
Isotype
IgG
Clonality
Polyclonal
Concentration
1 mg/ml
Geneid human
25874
Human swiss prot no
O95563
Cellular localization
Mitochondrion inner membrane ; Multi-pass membrane protein .
similarity:Belongs to the UPF0041 (0-44) family.,

Related Products

Recently Viewed Products