Product Overview
Product Overview
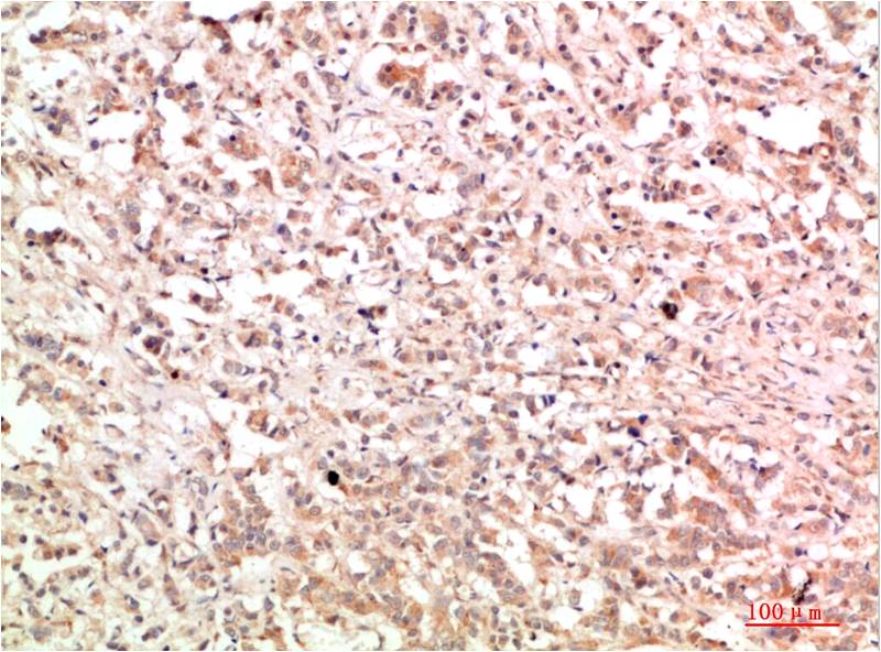
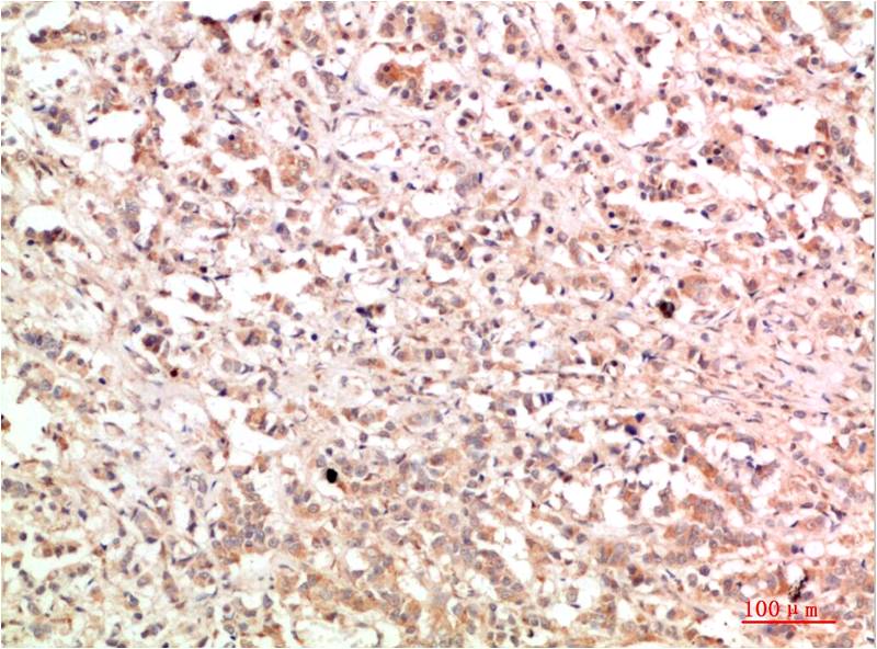
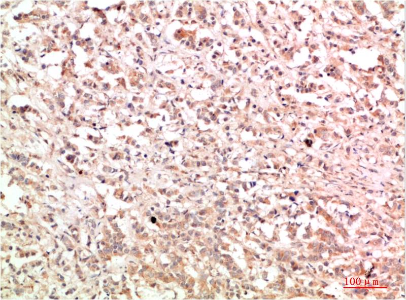
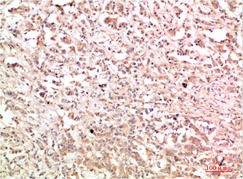
Applications
WB;IHC;IF;ELISA
Cellular localization
Cytoplasm, cytoskeleton. Nucleus. Mitochondrion . Shuttles between the nucleus and cytoplasm depending on environmental signals. Sequestered into the cytoplasm through interaction with 14-3-3 proteins. Localizes to mitochondria in response to oxidative stress (By similarity). .; [Isoform IB]: Nucleus membrane; Lipid-anchor. The myristoylated c-ABL protein is reported to be nuclear.
Clonality
Polyclonal
Concentration
1 mg/ml
Cost per item
74
Geneid human
25
Human swiss prot no
P00519
Immunogen
The antiserum was produced against synthesized peptide derived from human ABL1. AA range:861-910
Isotype
IgG
Observed band
125(200kd BCR-ABL complex)
Product weight
0.005kg
Reactivity
Human;Mouse;Rat
Recommended dilutions
Western Blot: 1/500 - 1/2000. Immunohistochemistry: 1/100 - 1/300. Immunofluorescence: 1/200 - 1/1000. ELISA: 1/20000. Not yet tested in other applications.
Source
Rabbit
Storage
-20°C/1 year
Documents
Documents
Background
Background
This gene is a protooncogene that encodes a protein tyrosine kinase involved in a variety of cellular processes, including cell division, adhesion, differentiation, and response to stress. The activity of the protein is negatively regulated by its SH3 domain, whereby deletion of the region encoding this domain results in an oncogene. The ubiquitously expressed protein has DNA-binding activity that is regulated by CDC2-mediated phosphorylation, suggesting a cell cycle function. This gene has been found fused to a variety of translocation partner genes in various leukemias, most notably the t(9;22) translocation that results in a fusion with the 5' end of the breakpoint cluster region gene (BCR; MIM:151410). Alternative splicing of this gene results in two transcript variants, which contain alternative first exons that are spliced to the remaining common exons. [pr
Product Citations
Product Citations
More Info
More Info
c-Abl Rabbit pAb
c-Abl Rabbit pAb
Vendor: ELK Biotechnology
SKU: ES1819
Regular price
$148.00
Sale price
$148.00
Regular price
Unit price
/per
Shipping calculated at checkout.
Documents
Available in stock (100)
×
Request a Quote
- Worldwide delivery & full concierge support
- AI Agent for guided support and curated product search
- Track Your Order Status Anytime
Couldn't load pickup availability
Limited time offer
Get $200 off when you spend $2,500 or more!
Product Overview
Product Overview
Applications
WB;IHC;IF;ELISA
Cellular localization
Cytoplasm, cytoskeleton. Nucleus. Mitochondrion . Shuttles between the nucleus and cytoplasm depending on environmental signals. Sequestered into the cytoplasm through interaction with 14-3-3 proteins. Localizes to mitochondria in response to oxidative stress (By similarity). .; [Isoform IB]: Nucleus membrane; Lipid-anchor. The myristoylated c-ABL protein is reported to be nuclear.
Clonality
Polyclonal
Concentration
1 mg/ml
Cost per item
74
Geneid human
25
Human swiss prot no
P00519
Immunogen
The antiserum was produced against synthesized peptide derived from human ABL1. AA range:861-910
Isotype
IgG
Observed band
125(200kd BCR-ABL complex)
Product weight
0.005kg
Reactivity
Human;Mouse;Rat
Recommended dilutions
Western Blot: 1/500 - 1/2000. Immunohistochemistry: 1/100 - 1/300. Immunofluorescence: 1/200 - 1/1000. ELISA: 1/20000. Not yet tested in other applications.
Source
Rabbit
Storage
-20°C/1 year
Documents
Documents
Background
Background
This gene is a protooncogene that encodes a protein tyrosine kinase involved in a variety of cellular processes, including cell division, adhesion, differentiation, and response to stress. The activity of the protein is negatively regulated by its SH3 domain, whereby deletion of the region encoding this domain results in an oncogene. The ubiquitously expressed protein has DNA-binding activity that is regulated by CDC2-mediated phosphorylation, suggesting a cell cycle function. This gene has been found fused to a variety of translocation partner genes in various leukemias, most notably the t(9;22) translocation that results in a fusion with the 5' end of the breakpoint cluster region gene (BCR; MIM:151410). Alternative splicing of this gene results in two transcript variants, which contain alternative first exons that are spliced to the remaining common exons. [pr
Product Citations
Product Citations
More Info
More Info
c-Abl Rabbit pAb
Regular price
$148.00
Sale price
$148.00
Regular price
Unit price
/per

