Product Overview
Product Overview
Applications
IF;WB;IHC;ELISA
Cellular localization
Nucleus. Endoplasmic reticulum. Cytoplasm, cytosol. In quiescent cells, present in very small amounts in the cytosol. Following induction of cell growth, first localizes to the endoplasmic reticulum and only later to the nucleus. Localization at the endoplasmic reticulum requires dephosphorylation at Tyr-10 and Tyr-30.
Clonality
Polyclonal
Concentration
1 mg/ml
Cost per item
74
Geneid human
2353
Human swiss prot no
P01100
Immunogen
The antiserum was produced against synthesized peptide derived from human Fos. AA range:331-380
Isotype
IgG
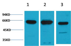
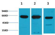
Observed band
62kD
Product weight
0.005kg
Reactivity
Human;Mouse;Rat
Recommended dilutions
IF: 1:50-200 Western Blot: 1/500 - 1/2000. Immunohistochemistry: 1/100 - 1/300. ELISA: 1/5000. Not yet tested in other applications.
Source
Rabbit
Storage
-20°C/1 year
Documents
Documents
Background
Background
The Fos gene family consists of 4 members: FOS, FOSB, FOSL1, and FOSL2. These genes encode leucine zipper proteins that can dimerize with proteins of the JUN family, thereby forming the transcription factor complex AP-1. As such, the FOS proteins have been implicated as regulators of cell proliferation, differentiation, and transformation. In some cases, expression of the FOS gene has also been associated with apoptotic cell death. [provided by RefSeq, Jul 2008],
Product Citations
Product Citations
More Info
More Info
c-Fos Rabbit pAb
c-Fos Rabbit pAb
Vendor: ELK Biotechnology
SKU: ES1964
Regular price
$148.00
Sale price
$148.00
Regular price
Unit price
/per
Shipping calculated at checkout.
Documents
Available in stock (100)
×
Request a Quote
- Worldwide delivery & full concierge support
- AI Agent for guided support and curated product search
- Track Your Order Status Anytime
Couldn't load pickup availability
Limited time offer
Get $200 off when you spend $2,500 or more!
Product Overview
Product Overview
Applications
IF;WB;IHC;ELISA
Cellular localization
Nucleus. Endoplasmic reticulum. Cytoplasm, cytosol. In quiescent cells, present in very small amounts in the cytosol. Following induction of cell growth, first localizes to the endoplasmic reticulum and only later to the nucleus. Localization at the endoplasmic reticulum requires dephosphorylation at Tyr-10 and Tyr-30.
Clonality
Polyclonal
Concentration
1 mg/ml
Cost per item
74
Geneid human
2353
Human swiss prot no
P01100
Immunogen
The antiserum was produced against synthesized peptide derived from human Fos. AA range:331-380
Isotype
IgG
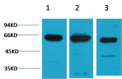
Observed band
62kD
Product weight
0.005kg
Reactivity
Human;Mouse;Rat
Recommended dilutions
IF: 1:50-200 Western Blot: 1/500 - 1/2000. Immunohistochemistry: 1/100 - 1/300. ELISA: 1/5000. Not yet tested in other applications.
Source
Rabbit
Storage
-20°C/1 year
Documents
Documents
Background
Background
The Fos gene family consists of 4 members: FOS, FOSB, FOSL1, and FOSL2. These genes encode leucine zipper proteins that can dimerize with proteins of the JUN family, thereby forming the transcription factor complex AP-1. As such, the FOS proteins have been implicated as regulators of cell proliferation, differentiation, and transformation. In some cases, expression of the FOS gene has also been associated with apoptotic cell death. [provided by RefSeq, Jul 2008],
Product Citations
Product Citations
More Info
More Info
c-Fos Rabbit pAb
Regular price
$148.00
Sale price
$148.00
Regular price
Unit price
/per

