Product Overview
Product Overview
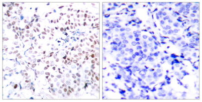
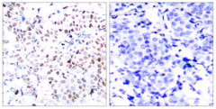
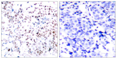
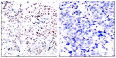
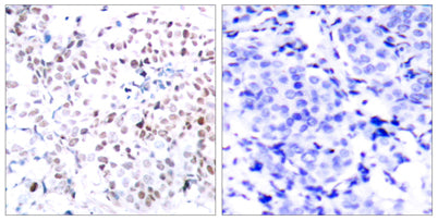
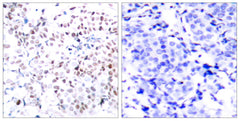
Applications
IHC;IF;IP;ELISA
Cellular localization
Nucleus, nucleoplasm . Nucleus, nucleolus .
Clonality
Polyclonal
Concentration
1 mg/ml
Cost per item
74
Geneid human
4609
Human swiss prot no
P01106
Immunogen
The antiserum was produced against synthesized peptide derived from human Myc around the phosphorylation site of Thr358. AA range:325-374
Isotype
IgG
Observed band
50,(also ~60KD in some samples)
Product weight
0.005kg
Reactivity
Human;Mouse;Rat
Recommended dilutions
Immunohistochemistry: 1/100 - 1/300. Immunoprecipitation: 2-5 ug/mg lysate. ELISA: 1/20000. Not yet tested in other applications.
Source
Rabbit
Storage
-20°C/1 year
Documents
Documents
Background
Background
The protein encoded by this gene is a multifunctional, nuclear phosphoprotein that plays a role in cell cycle progression, apoptosis and cellular transformation. It functions as a transcription factor that regulates transcription of specific target genes. Mutations, overexpression, rearrangement and translocation of this gene have been associated with a variety of hematopoietic tumors, leukemias and lymphomas, including Burkitt lymphoma. There is evidence to show that alternative translation initiations from an upstream, in-frame non-AUG (CUG) and a downstream AUG start site result in the production of two isoforms with distinct N-termini. The synthesis of non-AUG initiated protein is suppressed in Burkitt's lymphomas, suggesting its importance in the normal function of this gene. [provided by RefSeq, Jul 2008],
Product Citations
Product Citations
More Info
More Info
c-Myc (phospho Thr358) rabbit pAb
c-Myc (phospho Thr358) rabbit pAb
Vendor: ELK Biotechnology
SKU: ES6306
Regular price
$148.00
Sale price
$148.00
Regular price
Unit price
/per
Shipping calculated at checkout.
Documents
Available in stock (100)
×
Request a Quote
- Worldwide delivery & full concierge support
- AI Agent for guided support and curated product search
- Track Your Order Status Anytime
Couldn't load pickup availability
Limited time offer
Get $200 off when you spend $2,500 or more!
Product Overview
Product Overview
Applications
IHC;IF;IP;ELISA
Cellular localization
Nucleus, nucleoplasm . Nucleus, nucleolus .
Clonality
Polyclonal
Concentration
1 mg/ml
Cost per item
74
Geneid human
4609
Human swiss prot no
P01106
Immunogen
The antiserum was produced against synthesized peptide derived from human Myc around the phosphorylation site of Thr358. AA range:325-374
Isotype
IgG
Observed band
50,(also ~60KD in some samples)
Product weight
0.005kg
Reactivity
Human;Mouse;Rat
Recommended dilutions
Immunohistochemistry: 1/100 - 1/300. Immunoprecipitation: 2-5 ug/mg lysate. ELISA: 1/20000. Not yet tested in other applications.
Source
Rabbit
Storage
-20°C/1 year
Documents
Documents
Background
Background
The protein encoded by this gene is a multifunctional, nuclear phosphoprotein that plays a role in cell cycle progression, apoptosis and cellular transformation. It functions as a transcription factor that regulates transcription of specific target genes. Mutations, overexpression, rearrangement and translocation of this gene have been associated with a variety of hematopoietic tumors, leukemias and lymphomas, including Burkitt lymphoma. There is evidence to show that alternative translation initiations from an upstream, in-frame non-AUG (CUG) and a downstream AUG start site result in the production of two isoforms with distinct N-termini. The synthesis of non-AUG initiated protein is suppressed in Burkitt's lymphomas, suggesting its importance in the normal function of this gene. [provided by RefSeq, Jul 2008],
Product Citations
Product Citations
More Info
More Info
c-Myc (phospho Thr358) rabbit pAb
Regular price
$148.00
Sale price
$148.00
Regular price
Unit price
/per

