Product Overview
Product Overview
Applications
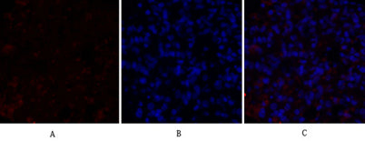
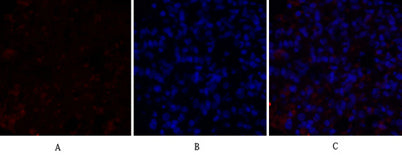
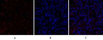
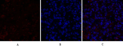
WB;IP;IHC;IF;ELISA
Cellular localization
Cell membrane ; Lipid-anchor . Mitochondrion inner membrane . Nucleus . Cytoplasm, cytoskeleton . Cytoplasm, perinuclear region . Cell junction, focal adhesion . Localizes to focal adhesion sites following integrin engagement (PubMed:22801373). Localization to focal adhesion sites requires myristoylation and the SH3 domain (PubMed:7525268). Colocalizes with PDLIM4 at the perinuclear region, but not at focal adhesions (PubMed:19307596). .
Clonality
Polyclonal
Concentration
1 mg/ml
Cost per item
74
Geneid human
6714
Human swiss prot no
P12931
Immunogen
The antiserum was produced against synthesized peptide derived from human Src. AA range:487-536
Isotype
IgG
Observed band
59kD
Product weight
0.005kg
Reactivity
Human;Mouse;Rat
Recommended dilutions
Western Blot: 1/500 - 1/2000. Immunohistochemistry: 1/100 - 1/300. IP 1:50-200 ELISA: 1/5000. Not yet tested in other applications.
Source
Rabbit
Storage
-20°C/1 year
Documents
Documents
Background
Background
This gene is highly similar to the v-src gene of Rous sarcoma virus. This proto-oncogene may play a role in the regulation of embryonic development and cell growth. The protein encoded by this gene is a tyrosine-protein kinase whose activity can be inhibited by phosphorylation by c-SRC kinase. Mutations in this gene could be involved in the malignant progression of colon cancer. Two transcript variants encoding the same protein have been found for this gene. [provided by RefSeq, Jul 2008],
Product Citations
Product Citations
More Info
More Info
c-Src rabbit pAb
c-Src rabbit pAb
Vendor: ELK Biotechnology
SKU: ES2064
Regular price
$148.00
Sale price
$148.00
Regular price
Unit price
/per
Shipping calculated at checkout.
Documents
Available in stock (100)
×
Request a Quote
- Worldwide delivery & full concierge support
- AI Agent for guided support and curated product search
- Track Your Order Status Anytime
Couldn't load pickup availability
Limited time offer
Get $200 off when you spend $2,500 or more!
Product Overview
Product Overview
Applications
WB;IP;IHC;IF;ELISA
Cellular localization
Cell membrane ; Lipid-anchor . Mitochondrion inner membrane . Nucleus . Cytoplasm, cytoskeleton . Cytoplasm, perinuclear region . Cell junction, focal adhesion . Localizes to focal adhesion sites following integrin engagement (PubMed:22801373). Localization to focal adhesion sites requires myristoylation and the SH3 domain (PubMed:7525268). Colocalizes with PDLIM4 at the perinuclear region, but not at focal adhesions (PubMed:19307596). .
Clonality
Polyclonal
Concentration
1 mg/ml
Cost per item
74
Geneid human
6714
Human swiss prot no
P12931
Immunogen
The antiserum was produced against synthesized peptide derived from human Src. AA range:487-536
Isotype
IgG
Observed band
59kD
Product weight
0.005kg
Reactivity
Human;Mouse;Rat
Recommended dilutions
Western Blot: 1/500 - 1/2000. Immunohistochemistry: 1/100 - 1/300. IP 1:50-200 ELISA: 1/5000. Not yet tested in other applications.
Source
Rabbit
Storage
-20°C/1 year
Documents
Documents
Background
Background
This gene is highly similar to the v-src gene of Rous sarcoma virus. This proto-oncogene may play a role in the regulation of embryonic development and cell growth. The protein encoded by this gene is a tyrosine-protein kinase whose activity can be inhibited by phosphorylation by c-SRC kinase. Mutations in this gene could be involved in the malignant progression of colon cancer. Two transcript variants encoding the same protein have been found for this gene. [provided by RefSeq, Jul 2008],
Product Citations
Product Citations
More Info
More Info
c-Src rabbit pAb
Regular price
$148.00
Sale price
$148.00
Regular price
Unit price
/per

