Product Overview
Product Overview
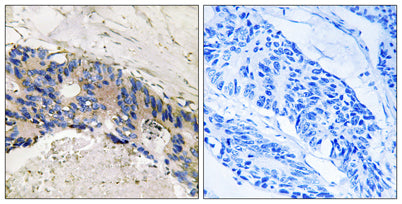
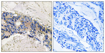
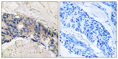
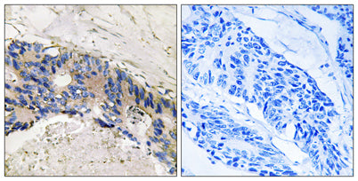
Applications
WB;IHC;IF;ELISA
Cellular localization
Cytoplasm .
Clonality
Polyclonal
Concentration
1 mg/ml
Cost per item
74
Geneid human
759
Human swiss prot no
P00915
Immunogen
The antiserum was produced against synthesized peptide derived from human CA1. AA range:41-90
Isotype
IgG
Observed band
29kD
Product weight
0.005kg
Reactivity
Human;Rat;Mouse;
Recommended dilutions
Western Blot: 1/500 - 1/2000. Immunohistochemistry: 1/100 - 1/300. ELISA: 1/40000. Not yet tested in other applications.
Source
Rabbit
Storage
-20°C/1 year
Documents
Documents
Background
Background
Carbonic anhydrases (CAs) are a large family of zinc metalloenzymes that catalyze the reversible hydration of carbon dioxide. They participate in a variety of biological processes, including respiration, calcification, acid-base balance, bone resorption, and the formation of aqueous humor, cerebrospinal fluid, saliva and gastric acid. They show extensive diversity in tissue distribution and in their subcellular localization. This CA1 gene is closely linked to the CA2 and CA3 genes on chromosome 8. It encodes a cytosolic protein that is found at the highest level in erythrocytes. Allelic variants of this gene have been described in some populations. Alternative splicing results in multiple transcript variants. [provided by RefSeq, May 2014],
Product Citations
Product Citations
More Info
More Info
CA I rabbit pAb
CA I rabbit pAb
Vendor: ELK Biotechnology
SKU: ES7542
Regular price
$148.00
Sale price
$148.00
Regular price
Unit price
/per
Shipping calculated at checkout.
Documents
Available in stock (100)
×
Request a Quote
- Worldwide delivery & full concierge support
- AI Agent for guided support and curated product search
- Track Your Order Status Anytime
Couldn't load pickup availability
Limited time offer
Get $200 off when you spend $2,500 or more!
Product Overview
Product Overview
Applications
WB;IHC;IF;ELISA
Cellular localization
Cytoplasm .
Clonality
Polyclonal
Concentration
1 mg/ml
Cost per item
74
Geneid human
759
Human swiss prot no
P00915
Immunogen
The antiserum was produced against synthesized peptide derived from human CA1. AA range:41-90
Isotype
IgG
Observed band
29kD
Product weight
0.005kg
Reactivity
Human;Rat;Mouse;
Recommended dilutions
Western Blot: 1/500 - 1/2000. Immunohistochemistry: 1/100 - 1/300. ELISA: 1/40000. Not yet tested in other applications.
Source
Rabbit
Storage
-20°C/1 year
Documents
Documents
Background
Background
Carbonic anhydrases (CAs) are a large family of zinc metalloenzymes that catalyze the reversible hydration of carbon dioxide. They participate in a variety of biological processes, including respiration, calcification, acid-base balance, bone resorption, and the formation of aqueous humor, cerebrospinal fluid, saliva and gastric acid. They show extensive diversity in tissue distribution and in their subcellular localization. This CA1 gene is closely linked to the CA2 and CA3 genes on chromosome 8. It encodes a cytosolic protein that is found at the highest level in erythrocytes. Allelic variants of this gene have been described in some populations. Alternative splicing results in multiple transcript variants. [provided by RefSeq, May 2014],
Product Citations
Product Citations
More Info
More Info
CA I rabbit pAb
Regular price
$148.00
Sale price
$148.00
Regular price
Unit price
/per

