Product Overview
Product Overview
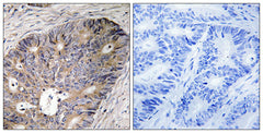
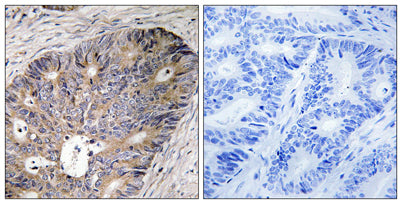
Applications
IHC;IF;ELISA
Cellular localization
Cytoplasm . Nucleus . Cytosolic and unphosphorylated in resting cells, translocates to the nucleus in response to EGF stimulation, nuclear import promotes optimal cell growth.
Clonality
Polyclonal
Concentration
1 mg/ml
Cost per item
74
Geneid human
790
Human swiss prot no
P27708
Immunogen
The antiserum was produced against synthesized peptide derived from human CAD. AA range:422-471
Isotype
IgG
Observed band
250kD
Product weight
0.005kg
Reactivity
Human;Mouse
Recommended dilutions
Immunohistochemistry: 1/100 - 1/300. ELISA: 1/20000. Not yet tested in other applications.
Source
Rabbit
Storage
-20°C/1 year
Documents
Documents
Background
Background
The de novo synthesis of pyrimidine nucleotides is required for mammalian cells to proliferate. This gene encodes a trifunctional protein which is associated with the enzymatic activities of the first 3 enzymes in the 6-step pathway of pyrimidine biosynthesis: carbamoylphosphate synthetase (CPS II), aspartate transcarbamoylase, and dihydroorotase. This protein is regulated by the mitogen-activated protein kinase (MAPK) cascade, which indicates a direct link between activation of the MAPK cascade and de novo biosynthesis of pyrimidine nucleotides. Alternative splicing results in multiple transcript variants encoding different isoforms. [provided by RefSeq, Apr 2015],
Product Citations
Product Citations
More Info
More Info
CAD rabbit pAb
CAD rabbit pAb
Vendor: ELK Biotechnology
SKU: ES7564
Regular price
$148.00
Sale price
$148.00
Regular price
Unit price
/per
Shipping calculated at checkout.
Documents
Available in stock (100)
×
Request a Quote
- Worldwide delivery & full concierge support
- AI Agent for guided support and curated product search
- Track Your Order Status Anytime
Couldn't load pickup availability
Limited time offer
Get $200 off when you spend $2,500 or more!
Product Overview
Product Overview
Applications
IHC;IF;ELISA
Cellular localization
Cytoplasm . Nucleus . Cytosolic and unphosphorylated in resting cells, translocates to the nucleus in response to EGF stimulation, nuclear import promotes optimal cell growth.
Clonality
Polyclonal
Concentration
1 mg/ml
Cost per item
74
Geneid human
790
Human swiss prot no
P27708
Immunogen
The antiserum was produced against synthesized peptide derived from human CAD. AA range:422-471
Isotype
IgG
Observed band
250kD
Product weight
0.005kg
Reactivity
Human;Mouse
Recommended dilutions
Immunohistochemistry: 1/100 - 1/300. ELISA: 1/20000. Not yet tested in other applications.
Source
Rabbit
Storage
-20°C/1 year
Documents
Documents
Background
Background
The de novo synthesis of pyrimidine nucleotides is required for mammalian cells to proliferate. This gene encodes a trifunctional protein which is associated with the enzymatic activities of the first 3 enzymes in the 6-step pathway of pyrimidine biosynthesis: carbamoylphosphate synthetase (CPS II), aspartate transcarbamoylase, and dihydroorotase. This protein is regulated by the mitogen-activated protein kinase (MAPK) cascade, which indicates a direct link between activation of the MAPK cascade and de novo biosynthesis of pyrimidine nucleotides. Alternative splicing results in multiple transcript variants encoding different isoforms. [provided by RefSeq, Apr 2015],
Product Citations
Product Citations
More Info
More Info
CAD rabbit pAb
Regular price
$148.00
Sale price
$148.00
Regular price
Unit price
/per

