Product Overview
Product Overview
Applications
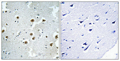
WB;IHC;IF;ELISA
Cellular localization
Nucleus . Cytoplasm . DNA replication foci. Cytoplasmic in M phase.
Clonality
Polyclonal
Concentration
1 mg/ml
Cost per item
74
Geneid human
8208
Human swiss prot no
Q13112
Immunogen
The antiserum was produced against synthesized peptide derived from human CAF1B. AA range:71-120
Isotype
IgG
Observed band
61kD
Product weight
0.005kg
Reactivity
Human;Mouse;Rat
Recommended dilutions
Western Blot: 1/500 - 1/2000. Immunohistochemistry: 1/100 - 1/300. Immunofluorescence: 1/200 - 1/1000. ELISA: 1/20000. Not yet tested in other applications.
Source
Rabbit
Storage
-20°C/1 year
Documents
Documents
Background
Background
Chromatin assembly factor I (CAF-I) is required for the assembly of histone octamers onto newly-replicated DNA. CAF-I is composed of three protein subunits, p50, p60, and p150. The protein encoded by this gene corresponds to the p60 subunit and is required for chromatin assembly after replication. The encoded protein is differentially phosphorylated in a cell cycle-dependent manner. In addition, it is normally found in the nucleus except during mitosis, when it is released into the cytoplasm. This protein is a member of the WD-repeat HIR1 family and may also be involved in DNA repair. [provided by RefSeq, Jul 2008],
Product Citations
Product Citations
More Info
More Info
CAF-1 p60 rabbit pAb
CAF-1 p60 rabbit pAb
Vendor: ELK Biotechnology
SKU: ES7657
Regular price
$148.00
Sale price
$148.00
Regular price
Unit price
/per
Shipping calculated at checkout.
Documents
Available in stock (100)
×
Request a Quote
- Worldwide delivery & full concierge support
- AI Agent for guided support and curated product search
- Track Your Order Status Anytime
Couldn't load pickup availability
Limited time offer
Get $200 off when you spend $2,500 or more!
Product Overview
Product Overview
Applications
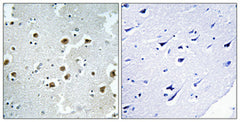
WB;IHC;IF;ELISA
Cellular localization
Nucleus . Cytoplasm . DNA replication foci. Cytoplasmic in M phase.
Clonality
Polyclonal
Concentration
1 mg/ml
Cost per item
74
Geneid human
8208
Human swiss prot no
Q13112
Immunogen
The antiserum was produced against synthesized peptide derived from human CAF1B. AA range:71-120
Isotype
IgG
Observed band
61kD
Product weight
0.005kg
Reactivity
Human;Mouse;Rat
Recommended dilutions
Western Blot: 1/500 - 1/2000. Immunohistochemistry: 1/100 - 1/300. Immunofluorescence: 1/200 - 1/1000. ELISA: 1/20000. Not yet tested in other applications.
Source
Rabbit
Storage
-20°C/1 year
Documents
Documents
Background
Background
Chromatin assembly factor I (CAF-I) is required for the assembly of histone octamers onto newly-replicated DNA. CAF-I is composed of three protein subunits, p50, p60, and p150. The protein encoded by this gene corresponds to the p60 subunit and is required for chromatin assembly after replication. The encoded protein is differentially phosphorylated in a cell cycle-dependent manner. In addition, it is normally found in the nucleus except during mitosis, when it is released into the cytoplasm. This protein is a member of the WD-repeat HIR1 family and may also be involved in DNA repair. [provided by RefSeq, Jul 2008],
Product Citations
Product Citations
More Info
More Info
CAF-1 p60 rabbit pAb
Regular price
$148.00
Sale price
$148.00
Regular price
Unit price
/per

