Product Overview
Product Overview
Applications
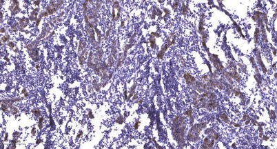
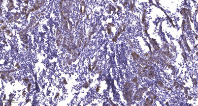
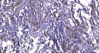
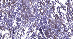
IHC;IF;ELISA
Cellular localization
Cytoplasm, cytoskeleton . Cytoplasm, myofibril . Cytoplasm, cytoskeleton, stress fiber . On thin filaments in smooth muscle and on stress fibers in fibroblasts (nonmuscle). .
Clonality
Polyclonal
Concentration
1 mg/ml
Cost per item
74
Geneid human
800
Human swiss prot no
Q05682
Immunogen
The antiserum was produced against synthesized peptide derived from human Caldesmon around the phosphorylation site of Ser759. AA range:725-774
Isotype
IgG
Product weight
0.005kg
Reactivity
Human;Mouse;Rat
Recommended dilutions
Immunohistochemistry: 1/100 - 1/300. ELISA: 1/10000. Not yet tested in other applications.
Source
Rabbit
Storage
-20°C/1 year
Documents
Documents
Background
Background
This gene encodes a calmodulin- and actin-binding protein that plays an essential role in the regulation of smooth muscle and nonmuscle contraction. The conserved domain of this protein possesses the binding activities to Ca(2+)-calmodulin, actin, tropomyosin, myosin, and phospholipids. This protein is a potent inhibitor of the actin-tropomyosin activated myosin MgATPase, and serves as a mediating factor for Ca(2+)-dependent inhibition of smooth muscle contraction. Alternative splicing of this gene results in multiple transcript variants encoding distinct isoforms. [provided by RefSeq, Jul 2008],
Product Citations
Product Citations
More Info
More Info
Caldesmon (phospho Ser759) rabbit pAb
Caldesmon (phospho Ser759) rabbit pAb
Vendor: ELK Biotechnology
SKU: ES7604
Regular price
$148.00
Sale price
$148.00
Regular price
Unit price
/per
Shipping calculated at checkout.
Documents
Available in stock (100)
×
Request a Quote
- Worldwide delivery & full concierge support
- AI Agent for guided support and curated product search
- Track Your Order Status Anytime
Couldn't load pickup availability
Limited time offer
Get $200 off when you spend $2,500 or more!
Product Overview
Product Overview
Applications
IHC;IF;ELISA
Cellular localization
Cytoplasm, cytoskeleton . Cytoplasm, myofibril . Cytoplasm, cytoskeleton, stress fiber . On thin filaments in smooth muscle and on stress fibers in fibroblasts (nonmuscle). .
Clonality
Polyclonal
Concentration
1 mg/ml
Cost per item
74
Geneid human
800
Human swiss prot no
Q05682
Immunogen
The antiserum was produced against synthesized peptide derived from human Caldesmon around the phosphorylation site of Ser759. AA range:725-774
Isotype
IgG
Product weight
0.005kg
Reactivity
Human;Mouse;Rat
Recommended dilutions
Immunohistochemistry: 1/100 - 1/300. ELISA: 1/10000. Not yet tested in other applications.
Source
Rabbit
Storage
-20°C/1 year
Documents
Documents
Background
Background
This gene encodes a calmodulin- and actin-binding protein that plays an essential role in the regulation of smooth muscle and nonmuscle contraction. The conserved domain of this protein possesses the binding activities to Ca(2+)-calmodulin, actin, tropomyosin, myosin, and phospholipids. This protein is a potent inhibitor of the actin-tropomyosin activated myosin MgATPase, and serves as a mediating factor for Ca(2+)-dependent inhibition of smooth muscle contraction. Alternative splicing of this gene results in multiple transcript variants encoding distinct isoforms. [provided by RefSeq, Jul 2008],
Product Citations
Product Citations
More Info
More Info
Caldesmon (phospho Ser759) rabbit pAb
Regular price
$148.00
Sale price
$148.00
Regular price
Unit price
/per

