Product Overview
Product Overview
Applications
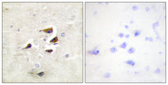
IHC;IF;WB;ELISA
Cellular localization
Cell junction, synapse . Cell junction, synapse, postsynaptic density . Cell projection, dendritic spine . Cell projection, dendrite . Postsynaptic lipid rafts. .
Clonality
Polyclonal
Concentration
1 mg/ml
Cost per item
74
Geneid human
815/816/817
Human swiss prot no
Q9UQM7/Q13554/Q13557
Immunogen
The antiserum was produced against synthesized peptide derived from human CaMK2 alpha/beta/delta. AA range:271-320
Isotype
IgG
Product weight
0.005kg
Reactivity
Human;Mouse;Rat
Recommended dilutions
WB 1:500-2000 Immunohistochemistry: 1/100 - 1/300. ELISA: 1/5000. Not yet tested in other applications.
Source
Rabbit
Storage
-20°C/1 year
Documents
Documents
Background
Background
The product of this gene belongs to the serine/threonine protein kinases family, and to the Ca(2+)/calmodulin-dependent protein kinases subfamily. Calcium signaling is crucial for several aspects of plasticity at glutamatergic synapses. This calcium calmodulin-dependent protein kinase is composed of four different chains: alpha, beta, gamma, and delta. The alpha chain encoded by this gene is required for hippocampal long-term potentiation (LTP) and spatial learning. In addition to its calcium-calmodulin (CaM)-dependent activity, this protein can undergo autophosphorylation, resulting in CaM-independent activity. Two transcript variants encoding distinct isoforms have been identified for this gene. [provided by RefSeq, Nov 2008],
Product Citations
Product Citations
More Info
More Info
CaMKIIα/β/δ rabbit pAb
CaMKIIα/β/δ rabbit pAb
Vendor: ELK Biotechnology
SKU: ES7641
Regular price
$148.00
Sale price
$148.00
Regular price
Unit price
/per
Shipping calculated at checkout.
Documents
Available in stock (100)
×
Request a Quote
- Worldwide delivery & full concierge support
- AI Agent for guided support and curated product search
- Track Your Order Status Anytime
Couldn't load pickup availability
Limited time offer
Get $200 off when you spend $2,500 or more!
Product Overview
Product Overview
Applications
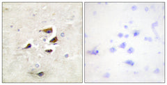
IHC;IF;WB;ELISA
Cellular localization
Cell junction, synapse . Cell junction, synapse, postsynaptic density . Cell projection, dendritic spine . Cell projection, dendrite . Postsynaptic lipid rafts. .
Clonality
Polyclonal
Concentration
1 mg/ml
Cost per item
74
Geneid human
815/816/817
Human swiss prot no
Q9UQM7/Q13554/Q13557
Immunogen
The antiserum was produced against synthesized peptide derived from human CaMK2 alpha/beta/delta. AA range:271-320
Isotype
IgG
Product weight
0.005kg
Reactivity
Human;Mouse;Rat
Recommended dilutions
WB 1:500-2000 Immunohistochemistry: 1/100 - 1/300. ELISA: 1/5000. Not yet tested in other applications.
Source
Rabbit
Storage
-20°C/1 year
Documents
Documents
Background
Background
The product of this gene belongs to the serine/threonine protein kinases family, and to the Ca(2+)/calmodulin-dependent protein kinases subfamily. Calcium signaling is crucial for several aspects of plasticity at glutamatergic synapses. This calcium calmodulin-dependent protein kinase is composed of four different chains: alpha, beta, gamma, and delta. The alpha chain encoded by this gene is required for hippocampal long-term potentiation (LTP) and spatial learning. In addition to its calcium-calmodulin (CaM)-dependent activity, this protein can undergo autophosphorylation, resulting in CaM-independent activity. Two transcript variants encoding distinct isoforms have been identified for this gene. [provided by RefSeq, Nov 2008],
Product Citations
Product Citations
More Info
More Info
CaMKIIα/β/δ rabbit pAb
Regular price
$148.00
Sale price
$148.00
Regular price
Unit price
/per

