Product Overview
Product Overview
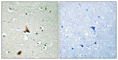
Applications
WB;IHC;IF;ELISA
Cellular localization
Cytoplasm . Cell membrane .
Clonality
Polyclonal
Concentration
1 mg/ml
Cost per item
74
Geneid human
834
Human swiss prot no
P29466
Immunogen
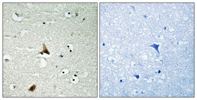
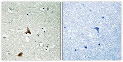
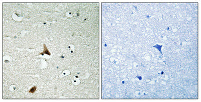
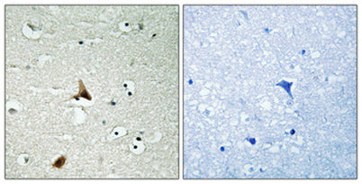
The antiserum was produced against synthesized peptide derived from human Caspase 1 around the phosphorylation site of Ser376. AA range:342-391
Isotype
IgG
Observed band
45kD
Product weight
0.005kg
Reactivity
Human;Mouse;Rat
Recommended dilutions
Western Blot: 1/500 - 1/2000. Immunohistochemistry: 1/100 - 1/300. ELISA: 1/20000. Not yet tested in other applications.
Source
Rabbit
Storage
-20°C/1 year
Documents
Documents
Background
Background
This gene encodes a protein which is a member of the cysteine-aspartic acid protease (caspase) family. Sequential activation of caspases plays a central role in the execution-phase of cell apoptosis. Caspases exist as inactive proenzymes which undergo proteolytic processing at conserved aspartic residues to produce 2 subunits, large and small, that dimerize to form the active enzyme. This gene was identified by its ability to proteolytically cleave and activate the inactive precursor of interleukin-1, a cytokine involved in the processes such as inflammation, septic shock, and wound healing. This gene has been shown to induce cell apoptosis and may function in various developmental stages. Studies of a similar gene in mouse suggest a role in the pathogenesis of Huntington disease. Alternative splicing results in transcript variants encoding distinct isoforms. [provided by RefSeq, Mar 2012],
Product Citations
Product Citations
More Info
More Info
Caspase-1 (phospho Ser376) rabbit pAb
Caspase-1 (phospho Ser376) rabbit pAb
Vendor: ELK Biotechnology
SKU: ES7679
Regular price
$148.00
Sale price
$148.00
Regular price
Unit price
/per
Shipping calculated at checkout.
Documents
Available in stock (100)
×
Request a Quote
- Worldwide delivery & full concierge support
- AI Agent for guided support and curated product search
- Track Your Order Status Anytime
Couldn't load pickup availability
Limited time offer
Get $200 off when you spend $2,500 or more!
Product Overview
Product Overview
Applications
WB;IHC;IF;ELISA
Cellular localization
Cytoplasm . Cell membrane .
Clonality
Polyclonal
Concentration
1 mg/ml
Cost per item
74
Geneid human
834
Human swiss prot no
P29466
Immunogen
The antiserum was produced against synthesized peptide derived from human Caspase 1 around the phosphorylation site of Ser376. AA range:342-391
Isotype
IgG
Observed band
45kD
Product weight
0.005kg
Reactivity
Human;Mouse;Rat
Recommended dilutions
Western Blot: 1/500 - 1/2000. Immunohistochemistry: 1/100 - 1/300. ELISA: 1/20000. Not yet tested in other applications.
Source
Rabbit
Storage
-20°C/1 year
Documents
Documents
Background
Background
This gene encodes a protein which is a member of the cysteine-aspartic acid protease (caspase) family. Sequential activation of caspases plays a central role in the execution-phase of cell apoptosis. Caspases exist as inactive proenzymes which undergo proteolytic processing at conserved aspartic residues to produce 2 subunits, large and small, that dimerize to form the active enzyme. This gene was identified by its ability to proteolytically cleave and activate the inactive precursor of interleukin-1, a cytokine involved in the processes such as inflammation, septic shock, and wound healing. This gene has been shown to induce cell apoptosis and may function in various developmental stages. Studies of a similar gene in mouse suggest a role in the pathogenesis of Huntington disease. Alternative splicing results in transcript variants encoding distinct isoforms. [provided by RefSeq, Mar 2012],
Product Citations
Product Citations
More Info
More Info
Caspase-1 (phospho Ser376) rabbit pAb
Regular price
$148.00
Sale price
$148.00
Regular price
Unit price
/per

