Product Overview
Product Overview
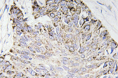
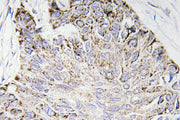
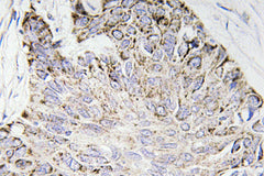
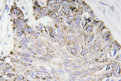
Applications
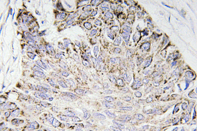
WB;IHC;IF;ELISA
Cellular localization
Cytoplasm, cytosol . Endoplasmic reticulum membrane ; Peripheral membrane protein ; Cytoplasmic side . Mitochondrion . Inflammasome . Secreted . Predominantly localizes to the endoplasmic reticulum (ER). Association with the ER membrane requires TMEM214 (PubMed:15123740). Released in the extracellular milieu by keratinocytes following UVB irradiation (PubMed:22246630). .
Clonality
Polyclonal
Concentration
1 mg/ml
Cost per item
74
Geneid human
837
Human swiss prot no
P49662
Immunogen
The antiserum was produced against synthesized peptide derived from human Caspase-4. AA range:75-124
Isotype
IgG
Observed band
45kD
Product weight
0.005kg
Reactivity
Human
Recommended dilutions
Western Blot: 1/500 - 1/2000. Immunohistochemistry: 1/100 - 1/300. ELISA: 1/40000. Not yet tested in other applications.
Source
Rabbit
Storage
-20°C/1 year
Documents
Documents
Background
Background
This gene encodes a protein that is a member of the cysteine-aspartic acid protease (caspase) family. Sequential activation of caspases plays a central role in the execution-phase of cell apoptosis. Caspases exist as inactive proenzymes composed of a prodomain and a large and small protease subunit. Activation of caspases requires proteolytic processing at conserved internal aspartic residues to generate a heterodimeric enzyme consisting of the large and small subunits. This caspase is able to cleave and activate its own precursor protein, as well as caspase 1 precursor. When overexpressed, this gene induces cell apoptosis. Alternative splicing results in transcript variants encoding distinct isoforms. [provided by RefSeq, Jul 2008],
Product Citations
Product Citations
More Info
More Info
Caspase-4 rabbit pAb
Caspase-4 rabbit pAb
Vendor: ELK Biotechnology
SKU: ES7703
Regular price
$148.00
Sale price
$148.00
Regular price
Unit price
/per
Shipping calculated at checkout.
Documents
Available in stock (100)
×
Request a Quote
- Worldwide delivery & full concierge support
- AI Agent for guided support and curated product search
- Track Your Order Status Anytime
Couldn't load pickup availability
Limited time offer
Get $200 off when you spend $2,500 or more!
Product Overview
Product Overview
Applications
WB;IHC;IF;ELISA
Cellular localization
Cytoplasm, cytosol . Endoplasmic reticulum membrane ; Peripheral membrane protein ; Cytoplasmic side . Mitochondrion . Inflammasome . Secreted . Predominantly localizes to the endoplasmic reticulum (ER). Association with the ER membrane requires TMEM214 (PubMed:15123740). Released in the extracellular milieu by keratinocytes following UVB irradiation (PubMed:22246630). .
Clonality
Polyclonal
Concentration
1 mg/ml
Cost per item
74
Geneid human
837
Human swiss prot no
P49662
Immunogen
The antiserum was produced against synthesized peptide derived from human Caspase-4. AA range:75-124
Isotype
IgG
Observed band
45kD
Product weight
0.005kg
Reactivity
Human
Recommended dilutions
Western Blot: 1/500 - 1/2000. Immunohistochemistry: 1/100 - 1/300. ELISA: 1/40000. Not yet tested in other applications.
Source
Rabbit
Storage
-20°C/1 year
Documents
Documents
Background
Background
This gene encodes a protein that is a member of the cysteine-aspartic acid protease (caspase) family. Sequential activation of caspases plays a central role in the execution-phase of cell apoptosis. Caspases exist as inactive proenzymes composed of a prodomain and a large and small protease subunit. Activation of caspases requires proteolytic processing at conserved internal aspartic residues to generate a heterodimeric enzyme consisting of the large and small subunits. This caspase is able to cleave and activate its own precursor protein, as well as caspase 1 precursor. When overexpressed, this gene induces cell apoptosis. Alternative splicing results in transcript variants encoding distinct isoforms. [provided by RefSeq, Jul 2008],
Product Citations
Product Citations
More Info
More Info
Caspase-4 rabbit pAb
Regular price
$148.00
Sale price
$148.00
Regular price
Unit price
/per

