Product Overview
Product Overview
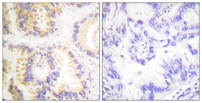
Applications
WB;IHC;IF;ELISA
Cellular localization
Cytoplasm . Nucleus .
Clonality
Polyclonal
Concentration
1 mg/ml
Cost per item
74
Geneid human
841
Human swiss prot no
Q14790
Immunogen
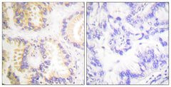
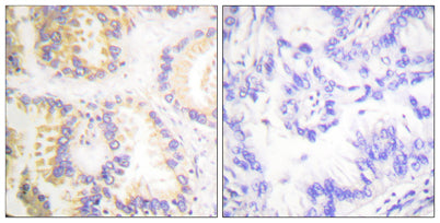
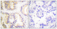
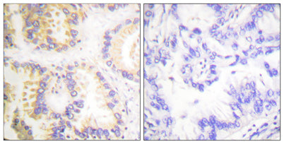
The antiserum was produced against synthesized peptide derived from human Caspase 8 around the phosphorylation site of Ser347. AA range:313-362
Isotype
IgG
Observed band
55kD
Product weight
0.005kg
Reactivity
Human;Rat
Recommended dilutions
Western Blot: 1/500 - 1/2000. Immunohistochemistry: 1/100 - 1/300. ELISA: 1/5000. Not yet tested in other applications.
Source
Rabbit
Storage
-20°C/1 year
Documents
Documents
Background
Background
This gene encodes a member of the cysteine-aspartic acid protease (caspase) family. Sequential activation of caspases plays a central role in the execution-phase of cell apoptosis. Caspases exist as inactive proenzymes composed of a prodomain, a large protease subunit, and a small protease subunit. Activation of caspases requires proteolytic processing at conserved internal aspartic residues to generate a heterodimeric enzyme consisting of the large and small subunits. This protein is involved in the programmed cell death induced by Fas and various apoptotic stimuli. The N-terminal FADD-like death effector domain of this protein suggests that it may interact with Fas-interacting protein FADD. This protein was detected in the insoluble fraction of the affected brain region from Huntington disease patients but not in those from normal controls, which implicated the role in neurodegenerative diseases. Many alt
Product Citations
Product Citations
More Info
More Info
Caspase-8 (phospho Ser347) rabbit pAb
Caspase-8 (phospho Ser347) rabbit pAb
Vendor: ELK Biotechnology
SKU: ES7727
Regular price
$148.00
Sale price
$148.00
Regular price
Unit price
/per
Shipping calculated at checkout.
Documents
Available in stock (100)
×
Request a Quote
- Worldwide delivery & full concierge support
- AI Agent for guided support and curated product search
- Track Your Order Status Anytime
Couldn't load pickup availability
Limited time offer
Get $200 off when you spend $2,500 or more!
Product Overview
Product Overview
Applications
WB;IHC;IF;ELISA
Cellular localization
Cytoplasm . Nucleus .
Clonality
Polyclonal
Concentration
1 mg/ml
Cost per item
74
Geneid human
841
Human swiss prot no
Q14790
Immunogen
The antiserum was produced against synthesized peptide derived from human Caspase 8 around the phosphorylation site of Ser347. AA range:313-362
Isotype
IgG
Observed band
55kD
Product weight
0.005kg
Reactivity
Human;Rat
Recommended dilutions
Western Blot: 1/500 - 1/2000. Immunohistochemistry: 1/100 - 1/300. ELISA: 1/5000. Not yet tested in other applications.
Source
Rabbit
Storage
-20°C/1 year
Documents
Documents
Background
Background
This gene encodes a member of the cysteine-aspartic acid protease (caspase) family. Sequential activation of caspases plays a central role in the execution-phase of cell apoptosis. Caspases exist as inactive proenzymes composed of a prodomain, a large protease subunit, and a small protease subunit. Activation of caspases requires proteolytic processing at conserved internal aspartic residues to generate a heterodimeric enzyme consisting of the large and small subunits. This protein is involved in the programmed cell death induced by Fas and various apoptotic stimuli. The N-terminal FADD-like death effector domain of this protein suggests that it may interact with Fas-interacting protein FADD. This protein was detected in the insoluble fraction of the affected brain region from Huntington disease patients but not in those from normal controls, which implicated the role in neurodegenerative diseases. Many alt
Product Citations
Product Citations
More Info
More Info
Caspase-8 (phospho Ser347) rabbit pAb
Regular price
$148.00
Sale price
$148.00
Regular price
Unit price
/per

