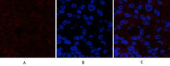
Product Overview
Product Overview
Applications
WB;IHC;IF;ELISA
Cellular localization
Cytoplasm . Nucleus . Cytoplasm, cytoskeleton . Cell junction, adherens junction . Cell junction . Cell membrane . Cytoplasm, cytoskeleton, microtubule organizing center, centrosome. Cytoplasm, cytoskeleton, spindle pole. Cell junction, synapse . Cytoplasm, cytoskeleton, cilium basal body . Colocalized with RAPGEF2 and TJP1 at cell-cell contacts (By similarity). Cytoplasmic when it is unstabilized (high level of phosphorylation) or bound to CDH1. Translocates to the nucleus when it is stabilized (low level of phosphorylation). Interaction with GLIS2 and MUC1 promotes nuclear translocation. Interaction with EMD inhibits nuclear localization. The majority of beta-catenin is localized to the cell membrane. In interphase, colocalizes with CROCC between CEP250 puncta at the proximal end of cent
Clonality
Polyclonal
Concentration
1 mg/ml
Cost per item
74
Geneid human
1499
Human swiss prot no
P35222
Immunogen
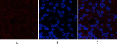
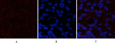
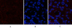
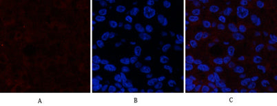
The antiserum was produced against synthesized peptide derived from human Catenin-beta around the phosphorylation site of Ser37. AA range:3-52
Isotype
IgG
Observed band
92kD
Product weight
0.005kg
Reactivity
Human;Mouse;Rat
Recommended dilutions
Western Blot: 1/500 - 1/2000. Immunohistochemistry: 1/100 - 1/300. Immunofluorescence: 1/200 - 1/1000. ELISA: 1/40000. Not yet tested in other applications.
Source
Rabbit
Storage
-20°C/1 year
Documents
Documents
Background
Background
The protein encoded by this gene is part of a complex of proteins that constitute adherens junctions (AJs). AJs are necessary for the creation and maintenance of epithelial cell layers by regulating cell growth and adhesion between cells. The encoded protein also anchors the actin cytoskeleton and may be responsible for transmitting the contact inhibition signal that causes cells to stop dividing once the epithelial sheet is complete. Finally, this protein binds to the product of the APC gene, which is mutated in adenomatous polyposis of the colon. Mutations in this gene are a cause of colorectal cancer (CRC), pilomatrixoma (PTR), medulloblastoma (MDB), and ovarian cancer. Alternative splicing results in multiple transcript variants. [provided by RefSeq, Aug 2016],
Product Citations
Product Citations
More Info
More Info
Catenin-β (phospho Ser37) rabbit pAb
Catenin-β (phospho Ser37) rabbit pAb
Vendor: ELK Biotechnology
SKU: ES1277
Regular price
$148.00
Sale price
$148.00
Regular price
Unit price
/per
Shipping calculated at checkout.
Documents
Available in stock (100)
×
Request a Quote
- Worldwide delivery & full concierge support
- AI Agent for guided support and curated product search
- Track Your Order Status Anytime
Couldn't load pickup availability
Limited time offer
Get $200 off when you spend $2,500 or more!
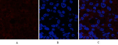
Product Overview
Product Overview
Applications
WB;IHC;IF;ELISA
Cellular localization
Cytoplasm . Nucleus . Cytoplasm, cytoskeleton . Cell junction, adherens junction . Cell junction . Cell membrane . Cytoplasm, cytoskeleton, microtubule organizing center, centrosome. Cytoplasm, cytoskeleton, spindle pole. Cell junction, synapse . Cytoplasm, cytoskeleton, cilium basal body . Colocalized with RAPGEF2 and TJP1 at cell-cell contacts (By similarity). Cytoplasmic when it is unstabilized (high level of phosphorylation) or bound to CDH1. Translocates to the nucleus when it is stabilized (low level of phosphorylation). Interaction with GLIS2 and MUC1 promotes nuclear translocation. Interaction with EMD inhibits nuclear localization. The majority of beta-catenin is localized to the cell membrane. In interphase, colocalizes with CROCC between CEP250 puncta at the proximal end of cent
Clonality
Polyclonal
Concentration
1 mg/ml
Cost per item
74
Geneid human
1499
Human swiss prot no
P35222
Immunogen
The antiserum was produced against synthesized peptide derived from human Catenin-beta around the phosphorylation site of Ser37. AA range:3-52
Isotype
IgG
Observed band
92kD
Product weight
0.005kg
Reactivity
Human;Mouse;Rat
Recommended dilutions
Western Blot: 1/500 - 1/2000. Immunohistochemistry: 1/100 - 1/300. Immunofluorescence: 1/200 - 1/1000. ELISA: 1/40000. Not yet tested in other applications.
Source
Rabbit
Storage
-20°C/1 year
Documents
Documents
Background
Background
The protein encoded by this gene is part of a complex of proteins that constitute adherens junctions (AJs). AJs are necessary for the creation and maintenance of epithelial cell layers by regulating cell growth and adhesion between cells. The encoded protein also anchors the actin cytoskeleton and may be responsible for transmitting the contact inhibition signal that causes cells to stop dividing once the epithelial sheet is complete. Finally, this protein binds to the product of the APC gene, which is mutated in adenomatous polyposis of the colon. Mutations in this gene are a cause of colorectal cancer (CRC), pilomatrixoma (PTR), medulloblastoma (MDB), and ovarian cancer. Alternative splicing results in multiple transcript variants. [provided by RefSeq, Aug 2016],
Product Citations
Product Citations
More Info
More Info
Catenin-β (phospho Ser37) rabbit pAb
Regular price
$148.00
Sale price
$148.00
Regular price
Unit price
/per

