Product Overview
Product Overview
Applications
WB;IHC;IF
Cellular localization
Membrane ; Single-pass type I membrane protein . Colocalizes with CACNA1A in lipid raft fractions. .
Clonality
Polyclonal
Concentration
1 mg/ml
Cost per item
74
Geneid human
9254
Human swiss prot no
Q9NY47
Immunogen
Synthetic Peptide of CaVα2δ2 AA range: 540-620
Isotype
IgG
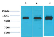
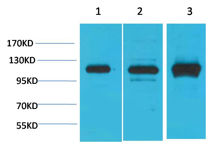
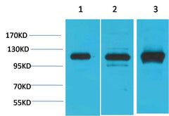
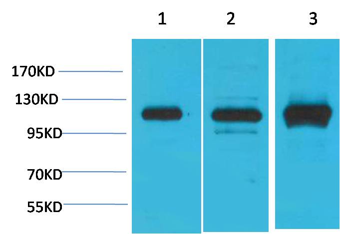
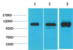
Observed band
100-120kD
Product weight
0.005kg
Reactivity
Human;Rat;Mouse
Recommended dilutions
Western Blot: 1/500 - 1/2000. Immunohistochemistry: 1/100 - 1/300. ELISA: 1/40000. Not yet tested in other applications.
Source
Rabbit
Storage
-20°C/1 year
Documents
Documents
Background
Background
calcium voltage-gated channel auxiliary subunit alpha2delta 2(CACNA2D2) Homo sapiens Calcium channels mediate the entry of calcium ions into the cell upon membrane polarization. This gene encodes the alpha-2/delta subunit of the voltage-dependent calcium channel complex. The complex consists of the main channel-forming subunit alpha-1, and auxiliary subunits alpha-2/delta, beta, and gamma. The auxiliary subunits function in the assembly and membrane localization of the complex, and modulate calcium currents and channel activation/inactivation kinetics. The subunit encoded by this gene undergoes post-translational cleavage to yield the extracellular alpha2 peptide and a membrane-anchored delta polypeptide. This subunit is a receptor for the antiepileptic drug, gabapentin. Mutations in this gene are associated with early infantile epileptic encephalopathy. Single nucleotide polymorphisms in this gene are correlated with increased sensitivity to
Product Citations
Product Citations
More Info
More Info
CaVα2δ2 Rabbit pAb
CaVα2δ2 Rabbit pAb
Vendor: ELK Biotechnology
SKU: ES20792
Regular price
$148.00
Sale price
$148.00
Regular price
Unit price
/per
Shipping calculated at checkout.
Documents
Available in stock (100)
×
Request a Quote
- Worldwide delivery & full concierge support
- AI Agent for guided support and curated product search
- Track Your Order Status Anytime
Couldn't load pickup availability
Limited time offer
Get $200 off when you spend $2,500 or more!
Product Overview
Product Overview
Applications
WB;IHC;IF
Cellular localization
Membrane ; Single-pass type I membrane protein . Colocalizes with CACNA1A in lipid raft fractions. .
Clonality
Polyclonal
Concentration
1 mg/ml
Cost per item
74
Geneid human
9254
Human swiss prot no
Q9NY47
Immunogen
Synthetic Peptide of CaVα2δ2 AA range: 540-620
Isotype
IgG
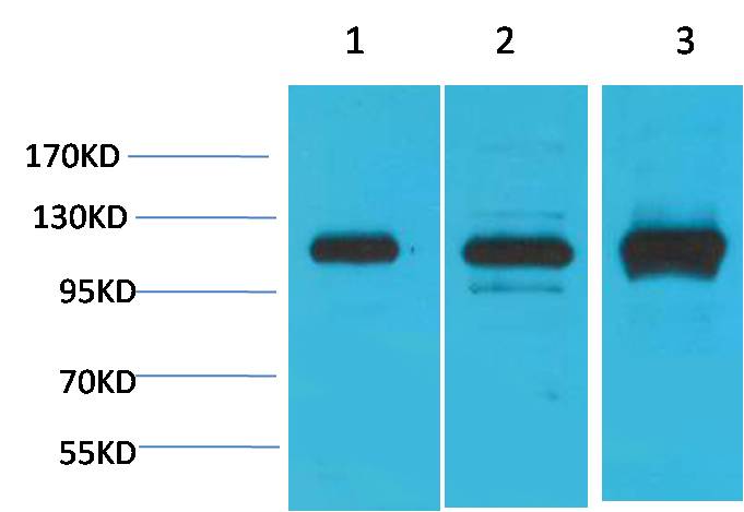
Observed band
100-120kD
Product weight
0.005kg
Reactivity
Human;Rat;Mouse
Recommended dilutions
Western Blot: 1/500 - 1/2000. Immunohistochemistry: 1/100 - 1/300. ELISA: 1/40000. Not yet tested in other applications.
Source
Rabbit
Storage
-20°C/1 year
Documents
Documents
Background
Background
calcium voltage-gated channel auxiliary subunit alpha2delta 2(CACNA2D2) Homo sapiens Calcium channels mediate the entry of calcium ions into the cell upon membrane polarization. This gene encodes the alpha-2/delta subunit of the voltage-dependent calcium channel complex. The complex consists of the main channel-forming subunit alpha-1, and auxiliary subunits alpha-2/delta, beta, and gamma. The auxiliary subunits function in the assembly and membrane localization of the complex, and modulate calcium currents and channel activation/inactivation kinetics. The subunit encoded by this gene undergoes post-translational cleavage to yield the extracellular alpha2 peptide and a membrane-anchored delta polypeptide. This subunit is a receptor for the antiepileptic drug, gabapentin. Mutations in this gene are associated with early infantile epileptic encephalopathy. Single nucleotide polymorphisms in this gene are correlated with increased sensitivity to
Product Citations
Product Citations
More Info
More Info
CaVα2δ2 Rabbit pAb
Regular price
$148.00
Sale price
$148.00
Regular price
Unit price
/per

