Product Overview
Product Overview
Applications
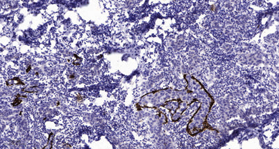
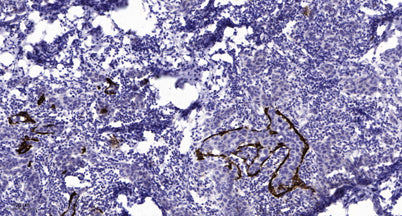
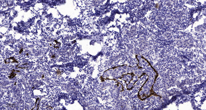
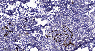
IHC;IF;WB
Cellular localization
[Isoform 1]: Cell membrane ; Single-pass type I membrane protein .; [Isoform 2]: Secreted .
Clonality
Polyclonal
Concentration
1 mg/ml
Cost per item
74
Geneid human
3572
Human swiss prot no
P40189
Immunogen
Synthesized peptide derived from human CD130/gp130 (Phospho-Ser782)
Isotype
IgG
Observed band
130kD
Product weight
0.005kg
Reactivity
Human; Mouse
Recommended dilutions
IHC-p 1:50-200, WB 1:500-2000
Source
Rabbit
Storage
-20°C/1 year
Documents
Documents
Documents
Backgrond
Backgrond
The protein encoded by this gene is a signal transducer shared by many cytokines, including interleukin 6 (IL6), ciliary neurotrophic factor (CNTF), leukemia inhibitory factor (LIF), and oncostatin M (OSM). This protein functions as a part of the cytokine receptor complex. The activation of this protein is dependent upon the binding of cytokines to their receptors. vIL6, a protein related to IL6 and encoded by the Kaposi sarcoma-associated herpesvirus, can bypass the interleukin 6 receptor (IL6R) and directly activate this protein. Knockout studies in mice suggest that this gene plays a critical role in regulating myocyte apoptosis. Alternatively spliced transcript variants have been described. A related pseudogene has been identified on chromosome 17. [provided by RefSeq, May 2014],
Product Citations
Product Citations
More Info
More Info
CD130/gp130 (Phospho-Ser782) rabbit pAb
CD130/gp130 (Phospho-Ser782) rabbit pAb
Vendor: ELK Biotechnology
SKU: ES17738
Regular price
$148.00
Sale price
$148.00
Regular price
Unit price
/per
Shipping calculated at checkout.
Documents
Available in stock (100)
×
Request a Quote
- Free Shipping over $2500
- AI AgentFor Any Questions or Product Search Help
- Track Your Order Status Anytime
Couldn't load pickup availability
Limited time offer
Get $200 off when you spend $2,500 or more!
Product Overview
Product Overview
Applications
IHC;IF;WB
Cellular localization
[Isoform 1]: Cell membrane ; Single-pass type I membrane protein .; [Isoform 2]: Secreted .
Clonality
Polyclonal
Concentration
1 mg/ml
Cost per item
74
Geneid human
3572
Human swiss prot no
P40189
Immunogen
Synthesized peptide derived from human CD130/gp130 (Phospho-Ser782)
Isotype
IgG
Observed band
130kD
Product weight
0.005kg
Reactivity
Human; Mouse
Recommended dilutions
IHC-p 1:50-200, WB 1:500-2000
Source
Rabbit
Storage
-20°C/1 year
Documents
Documents
Documents
Backgrond
Backgrond
The protein encoded by this gene is a signal transducer shared by many cytokines, including interleukin 6 (IL6), ciliary neurotrophic factor (CNTF), leukemia inhibitory factor (LIF), and oncostatin M (OSM). This protein functions as a part of the cytokine receptor complex. The activation of this protein is dependent upon the binding of cytokines to their receptors. vIL6, a protein related to IL6 and encoded by the Kaposi sarcoma-associated herpesvirus, can bypass the interleukin 6 receptor (IL6R) and directly activate this protein. Knockout studies in mice suggest that this gene plays a critical role in regulating myocyte apoptosis. Alternatively spliced transcript variants have been described. A related pseudogene has been identified on chromosome 17. [provided by RefSeq, May 2014],
Product Citations
Product Citations
More Info
More Info
CD130/gp130 (Phospho-Ser782) rabbit pAb
Regular price
$148.00
Sale price
$148.00
Regular price
Unit price
/per

