Product Overview
Product Overview
Applications
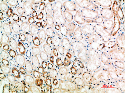
IHC;IF;ELISA
Cellular localization
Cell membrane ; Single-pass type I membrane protein . Exists primarily an intracellular antigen whose surface expression is tightly regulated by restricted trafficking to the cell surface and rapid internalization.
Clonality
Polyclonal
Concentration
1 mg/ml
Cost per item
74
Geneid human
1493
Human swiss prot no
P16410
Immunogen
Synthetic peptide from human protein at AA range: 41-90
Isotype
IgG
Product weight
0.005kg
Reactivity
Human;Rat;Mouse;
Recommended dilutions
IHC-p 1:50-200, ELISA 1:10000-20000
Source
Rabbit
Storage
-20°C/1 year
Documents
Documents
Documents
Backgrond
Backgrond
This gene is a member of the immunoglobulin superfamily and encodes a protein which transmits an inhibitory signal to T cells. The protein contains a V domain, a transmembrane domain, and a cytoplasmic tail. Alternate transcriptional splice variants, encoding different isoforms, have been characterized. The membrane-bound isoform functions as a homodimer interconnected by a disulfide bond, while the soluble isoform functions as a monomer. Mutations in this gene have been associated with insulin-dependent diabetes mellitus, Graves disease, Hashimoto thyroiditis, celiac disease, systemic lupus erythematosus, thyroid-associated orbitopathy, and other autoimmune diseases. [provided by RefSeq, Jul 2008],
Product Citations
Product Citations
More Info
More Info
CD152 rabbit pAb
CD152 rabbit pAb
Vendor: ELK Biotechnology
SKU: ES8684
Regular price
$148.00
Sale price
$148.00
Regular price
Unit price
/per
Shipping calculated at checkout.
Documents
Available in stock (100)
×
Request a Quote
- Free Shipping over $2500
- AI AgentFor Any Questions or Product Search Help
- Track Your Order Status Anytime
Couldn't load pickup availability
Limited time offer
Get $200 off when you spend $2,500 or more!
Product Overview
Product Overview
Applications
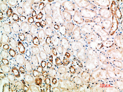
IHC;IF;ELISA
Cellular localization
Cell membrane ; Single-pass type I membrane protein . Exists primarily an intracellular antigen whose surface expression is tightly regulated by restricted trafficking to the cell surface and rapid internalization.
Clonality
Polyclonal
Concentration
1 mg/ml
Cost per item
74
Geneid human
1493
Human swiss prot no
P16410
Immunogen
Synthetic peptide from human protein at AA range: 41-90
Isotype
IgG
Product weight
0.005kg
Reactivity
Human;Rat;Mouse;
Recommended dilutions
IHC-p 1:50-200, ELISA 1:10000-20000
Source
Rabbit
Storage
-20°C/1 year
Documents
Documents
Documents
Backgrond
Backgrond
This gene is a member of the immunoglobulin superfamily and encodes a protein which transmits an inhibitory signal to T cells. The protein contains a V domain, a transmembrane domain, and a cytoplasmic tail. Alternate transcriptional splice variants, encoding different isoforms, have been characterized. The membrane-bound isoform functions as a homodimer interconnected by a disulfide bond, while the soluble isoform functions as a monomer. Mutations in this gene have been associated with insulin-dependent diabetes mellitus, Graves disease, Hashimoto thyroiditis, celiac disease, systemic lupus erythematosus, thyroid-associated orbitopathy, and other autoimmune diseases. [provided by RefSeq, Jul 2008],
Product Citations
Product Citations
More Info
More Info
CD152 rabbit pAb
Regular price
$148.00
Sale price
$148.00
Regular price
Unit price
/per

