Product Overview
Product Overview
Applications
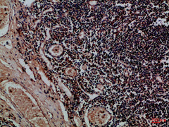
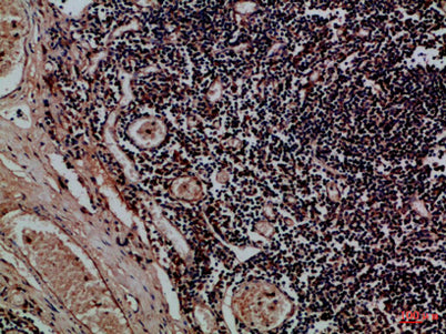
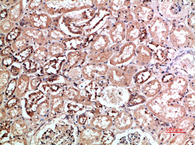
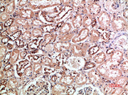
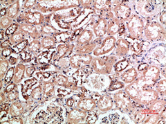
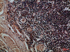
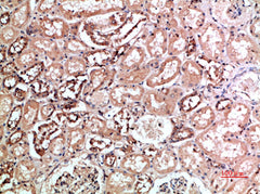
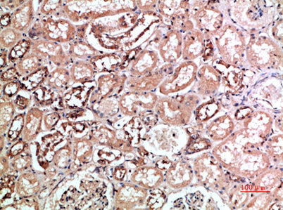
IHC;IF;ELISA
Cellular localization
Cell membrane; Single-pass type I membrane protein.
Clonality
Polyclonal
Concentration
1 mg/ml
Cost per item
74
Geneid human
57292
Human swiss prot no
Q8N109/Q8NHK3
Immunogen
Synthetic peptide from human protein at AA range: 31-80
Isotype
IgG
Product weight
0.005kg
Reactivity
Human;Rat;Mouse;
Recommended dilutions
IHC-p 1:50-200, ELISA 1:10000-20000
Source
Rabbit
Storage
-20°C/1 year
Documents
Documents
Documents
Backgrond
Backgrond
killer cell immunoglobulin like receptor, two Ig domains and long cytoplasmic tail 5A(KIR2DL5A) Homo sapiens Killer cell immunoglobulin-like receptors (KIRs) are transmembrane glycoproteins expressed by natural killer cells and subsets of T cells. The KIR genes are polymorphic and highly homologous and they are found in a cluster on chromosome 19q13.4 within the 1 Mb leukocyte receptor complex (LRC). The gene content of the KIR gene cluster varies among haplotypes, although several "framework" genes are found in all haplotypes (KIR3DL3, KIR3DP1, KIR3DL4, KIR3DL2). The KIR proteins are classified by the number of extracellular immunoglobulin domains (2D or 3D) and by whether they have a long (L) or short (S) cytoplasmic domain. KIR proteins with the long cytoplasmic domain transduce inhibitory signals upon ligand binding via an immune tyrosine-based inhibitory motif (ITIM), while KIR proteins with the short cytoplasmic domain lack the
Product Citations
Product Citations
More Info
More Info
CD158f1/2 rabbit pAb
CD158f1/2 rabbit pAb
Vendor: ELK Biotechnology
SKU: ES8792
Regular price
$148.00
Sale price
$148.00
Regular price
Unit price
/per
Shipping calculated at checkout.
Documents
Available in stock (100)
×
Request a Quote
- Free Shipping over $2500
- AI AgentFor Any Questions or Product Search Help
- Track Your Order Status Anytime
Couldn't load pickup availability
Limited time offer
Get $200 off when you spend $2,500 or more!
Product Overview
Product Overview
Applications
IHC;IF;ELISA
Cellular localization
Cell membrane; Single-pass type I membrane protein.
Clonality
Polyclonal
Concentration
1 mg/ml
Cost per item
74
Geneid human
57292
Human swiss prot no
Q8N109/Q8NHK3
Immunogen
Synthetic peptide from human protein at AA range: 31-80
Isotype
IgG
Product weight
0.005kg
Reactivity
Human;Rat;Mouse;
Recommended dilutions
IHC-p 1:50-200, ELISA 1:10000-20000
Source
Rabbit
Storage
-20°C/1 year
Documents
Documents
Documents
Backgrond
Backgrond
killer cell immunoglobulin like receptor, two Ig domains and long cytoplasmic tail 5A(KIR2DL5A) Homo sapiens Killer cell immunoglobulin-like receptors (KIRs) are transmembrane glycoproteins expressed by natural killer cells and subsets of T cells. The KIR genes are polymorphic and highly homologous and they are found in a cluster on chromosome 19q13.4 within the 1 Mb leukocyte receptor complex (LRC). The gene content of the KIR gene cluster varies among haplotypes, although several "framework" genes are found in all haplotypes (KIR3DL3, KIR3DP1, KIR3DL4, KIR3DL2). The KIR proteins are classified by the number of extracellular immunoglobulin domains (2D or 3D) and by whether they have a long (L) or short (S) cytoplasmic domain. KIR proteins with the long cytoplasmic domain transduce inhibitory signals upon ligand binding via an immune tyrosine-based inhibitory motif (ITIM), while KIR proteins with the short cytoplasmic domain lack the
Product Citations
Product Citations
More Info
More Info
CD158f1/2 rabbit pAb
Regular price
$148.00
Sale price
$148.00
Regular price
Unit price
/per

