Product Overview
Product Overview
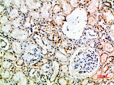
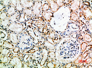
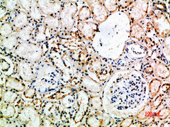
Applications
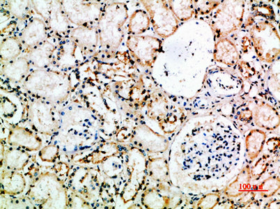
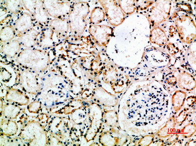
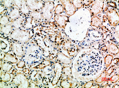
IHC;IF;ELISA
Cellular localization
Cell membrane ; Single-pass type I membrane protein . Secreted . Exists also as a soluble receptor. .
Clonality
Polyclonal
Concentration
1 mg/ml
Cost per item
74
Geneid human
2214
Human swiss prot no
P08637/O75015
Immunogen
Synthetic peptide from human protein at AA range: 100-150
Isotype
IgG
Product weight
0.005kg
Reactivity
Human;Rat;Mouse;
Recommended dilutions
IHC-p 1:50-200, ELISA 1:10000-20000
Source
Rabbit
Storage
-20°C/1 year
Documents
Documents
Documents
Backgrond
Backgrond
This gene encodes a receptor for the Fc portion of immunoglobulin G, and it is involved in the removal of antigen-antibody complexes from the circulation, as well as other other antibody-dependent responses. This gene (FCGR3A) is highly similar to another nearby gene (FCGR3B) located on chromosome 1. The receptor encoded by this gene is expressed on natural killer (NK) cells as an integral membrane glycoprotein anchored through a transmembrane peptide, whereas FCGR3B is expressed on polymorphonuclear neutrophils (PMN) where the receptor is anchored through a phosphatidylinositol (PI) linkage. Mutations in this gene have been linked to susceptibility to recurrent viral infections, susceptibility to systemic lupus erythematosus, and alloimmune neonatal neutropenia. Alternatively spliced transcript variants encoding different isoforms have been found for this gene. [provided by RefSeq,
Product Citations
Product Citations
More Info
More Info
CD16 rabbit pAb
CD16 rabbit pAb
Vendor: ELK Biotechnology
SKU: ES8675
Regular price
$148.00
Sale price
$148.00
Regular price
Unit price
/per
Shipping calculated at checkout.
Documents
Available in stock (100)
×
Request a Quote
- Free Shipping over $2500
- AI AgentFor Any Questions or Product Search Help
- Track Your Order Status Anytime
Couldn't load pickup availability
Limited time offer
Get $200 off when you spend $2,500 or more!
Product Overview
Product Overview
Applications
IHC;IF;ELISA
Cellular localization
Cell membrane ; Single-pass type I membrane protein . Secreted . Exists also as a soluble receptor. .
Clonality
Polyclonal
Concentration
1 mg/ml
Cost per item
74
Geneid human
2214
Human swiss prot no
P08637/O75015
Immunogen
Synthetic peptide from human protein at AA range: 100-150
Isotype
IgG
Product weight
0.005kg
Reactivity
Human;Rat;Mouse;
Recommended dilutions
IHC-p 1:50-200, ELISA 1:10000-20000
Source
Rabbit
Storage
-20°C/1 year
Documents
Documents
Documents
Backgrond
Backgrond
This gene encodes a receptor for the Fc portion of immunoglobulin G, and it is involved in the removal of antigen-antibody complexes from the circulation, as well as other other antibody-dependent responses. This gene (FCGR3A) is highly similar to another nearby gene (FCGR3B) located on chromosome 1. The receptor encoded by this gene is expressed on natural killer (NK) cells as an integral membrane glycoprotein anchored through a transmembrane peptide, whereas FCGR3B is expressed on polymorphonuclear neutrophils (PMN) where the receptor is anchored through a phosphatidylinositol (PI) linkage. Mutations in this gene have been linked to susceptibility to recurrent viral infections, susceptibility to systemic lupus erythematosus, and alloimmune neonatal neutropenia. Alternatively spliced transcript variants encoding different isoforms have been found for this gene. [provided by RefSeq,
Product Citations
Product Citations
More Info
More Info
CD16 rabbit pAb
Regular price
$148.00
Sale price
$148.00
Regular price
Unit price
/per

