Product Overview
Product Overview
Applications
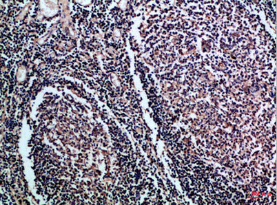
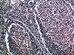
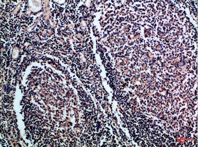
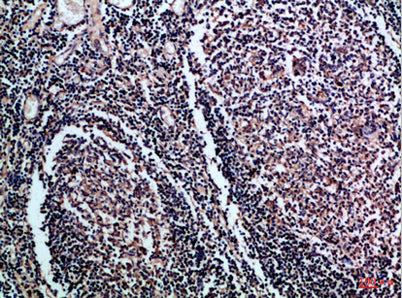
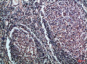
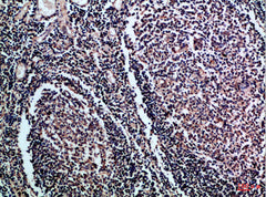
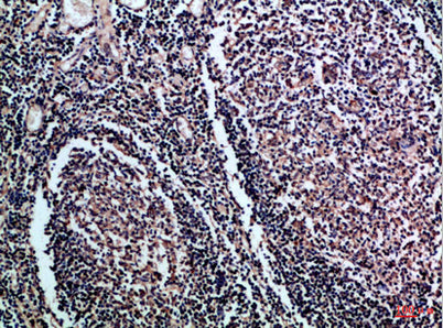
IHC;IF;ELISA
Cellular localization
Cell membrane ; Single-pass type I membrane protein . Membrane raft ; Single-pass type I membrane protein . Endosome membrane ; Single-pass type I membrane protein . Subject to intracellular trafficking between the cell membrane and endosomes (PubMed:11231314). Localizes to cell surface lipid rafts (PubMed:18178838). .
Clonality
Polyclonal
Concentration
1 mg/ml
Cost per item
74
Geneid human
909/910
Human swiss prot no
P06126/P29016
Immunogen
Synthetic peptide from human protein at AA range: 220-270
Isotype
IgG
Product weight
0.005kg
Reactivity
Human;Rat;Mouse;
Recommended dilutions
IHC-p 1:50-200, ELISA 1:10000-20000
Source
Rabbit
Storage
-20°C/1 year
Documents
Documents
Documents
Backgrond
Backgrond
This gene encodes a member of the CD1 family of transmembrane glycoproteins, which are structurally related to the major histocompatibility complex (MHC) proteins and form heterodimers with beta-2-microglobulin. The CD1 proteins mediate the presentation of primarily lipid and glycolipid antigens of self or microbial origin to T cells. The human genome contains five CD1 family genes organized in a cluster on chromosome 1. The CD1 family members are thought to differ in their cellular localization and specificity for particular lipid ligands. The protein encoded by this gene localizes to the plasma membrane and to recycling vesicles of the early endocytic system. Alternative splicing results in multiple transcript variants. [provided by RefSeq, Mar 2016],
Product Citations
Product Citations
More Info
More Info
CD1A/B rabbit pAb
CD1A/B rabbit pAb
Vendor: ELK Biotechnology
SKU: ES8784
Regular price
$148.00
Sale price
$148.00
Regular price
Unit price
/per
Shipping calculated at checkout.
Documents
Available in stock (100)
×
Request a Quote
- Free Shipping over $2500
- AI AgentFor Any Questions or Product Search Help
- Track Your Order Status Anytime
Couldn't load pickup availability
Limited time offer
Get $200 off when you spend $2,500 or more!
Product Overview
Product Overview
Applications
IHC;IF;ELISA
Cellular localization
Cell membrane ; Single-pass type I membrane protein . Membrane raft ; Single-pass type I membrane protein . Endosome membrane ; Single-pass type I membrane protein . Subject to intracellular trafficking between the cell membrane and endosomes (PubMed:11231314). Localizes to cell surface lipid rafts (PubMed:18178838). .
Clonality
Polyclonal
Concentration
1 mg/ml
Cost per item
74
Geneid human
909/910
Human swiss prot no
P06126/P29016
Immunogen
Synthetic peptide from human protein at AA range: 220-270
Isotype
IgG
Product weight
0.005kg
Reactivity
Human;Rat;Mouse;
Recommended dilutions
IHC-p 1:50-200, ELISA 1:10000-20000
Source
Rabbit
Storage
-20°C/1 year
Documents
Documents
Documents
Backgrond
Backgrond
This gene encodes a member of the CD1 family of transmembrane glycoproteins, which are structurally related to the major histocompatibility complex (MHC) proteins and form heterodimers with beta-2-microglobulin. The CD1 proteins mediate the presentation of primarily lipid and glycolipid antigens of self or microbial origin to T cells. The human genome contains five CD1 family genes organized in a cluster on chromosome 1. The CD1 family members are thought to differ in their cellular localization and specificity for particular lipid ligands. The protein encoded by this gene localizes to the plasma membrane and to recycling vesicles of the early endocytic system. Alternative splicing results in multiple transcript variants. [provided by RefSeq, Mar 2016],
Product Citations
Product Citations
More Info
More Info
CD1A/B rabbit pAb
Regular price
$148.00
Sale price
$148.00
Regular price
Unit price
/per

