Product Overview
Product Overview
Applications
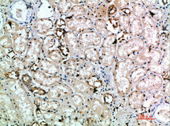
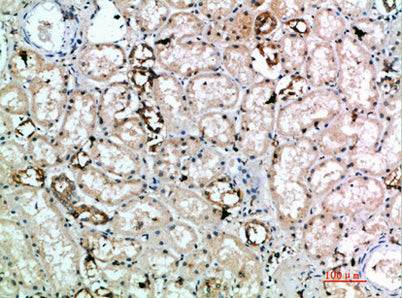
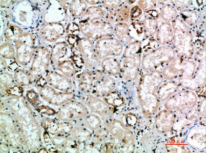
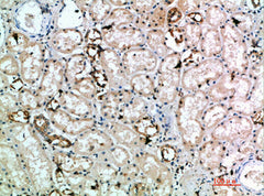
IHC;IF;ELISA
Cellular localization
Cell membrane ; Single-pass type II membrane protein . Colocalized with HCST on the cell surface.
Clonality
Polyclonal
Concentration
1 mg/ml
Cost per item
74
Geneid human
100528032
Human swiss prot no
P26718
Immunogen
Synthetic peptide from human protein at AA range: 167-216
Isotype
IgG
Product weight
0.005kg
Reactivity
Human;Rat;Mouse;
Recommended dilutions
IHC-p 1:50-200, ELISA 1:10000-20000
Source
Rabbit
Storage
-20°C/1 year
Documents
Documents
Documents
Backgrond
Backgrond
Natural killer (NK) cells are lymphocytes that can mediate lysis of certain tumor cells and virus-infected cells without previous activation. They can also regulate specific humoral and cell-mediated immunity. NK cells preferentially express several calcium-dependent (C-type) lectins, which have been implicated in the regulation of NK cell function. The NKG2 gene family is located within the NK complex, a region that contains several C-type lectin genes preferentially expressed in NK cells. This gene encodes a member of the NKG2 family. The encoded transmembrane protein is characterized by a type II membrane orientation (has an extracellular C terminus) and the presence of a C-type lectin domain. It binds to a diverse family of ligands that include MHC class I chain-related A and B proteins and UL-16 binding proteins, where ligand-receptor interactions can result in the activation of
Product Citations
Product Citations
More Info
More Info
CD314 rabbit pAb
CD314 rabbit pAb
Vendor: ELK Biotechnology
SKU: ES8696
Regular price
$148.00
Sale price
$148.00
Regular price
Unit price
/per
Shipping calculated at checkout.
Documents
Available in stock (100)
×
Request a Quote
- Free Shipping over $2500
- AI AgentFor Any Questions or Product Search Help
- Track Your Order Status Anytime
Couldn't load pickup availability
Limited time offer
Get $200 off when you spend $2,500 or more!
Product Overview
Product Overview
Applications
IHC;IF;ELISA
Cellular localization
Cell membrane ; Single-pass type II membrane protein . Colocalized with HCST on the cell surface.
Clonality
Polyclonal
Concentration
1 mg/ml
Cost per item
74
Geneid human
100528032
Human swiss prot no
P26718
Immunogen
Synthetic peptide from human protein at AA range: 167-216
Isotype
IgG
Product weight
0.005kg
Reactivity
Human;Rat;Mouse;
Recommended dilutions
IHC-p 1:50-200, ELISA 1:10000-20000
Source
Rabbit
Storage
-20°C/1 year
Documents
Documents
Documents
Backgrond
Backgrond
Natural killer (NK) cells are lymphocytes that can mediate lysis of certain tumor cells and virus-infected cells without previous activation. They can also regulate specific humoral and cell-mediated immunity. NK cells preferentially express several calcium-dependent (C-type) lectins, which have been implicated in the regulation of NK cell function. The NKG2 gene family is located within the NK complex, a region that contains several C-type lectin genes preferentially expressed in NK cells. This gene encodes a member of the NKG2 family. The encoded transmembrane protein is characterized by a type II membrane orientation (has an extracellular C terminus) and the presence of a C-type lectin domain. It binds to a diverse family of ligands that include MHC class I chain-related A and B proteins and UL-16 binding proteins, where ligand-receptor interactions can result in the activation of
Product Citations
Product Citations
More Info
More Info
CD314 rabbit pAb
Regular price
$148.00
Sale price
$148.00
Regular price
Unit price
/per

