Product Overview
Product Overview
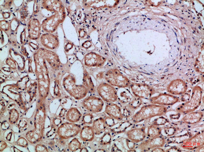
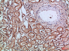
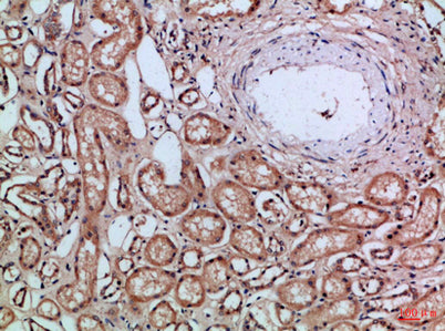
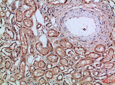
Applications
IHC;IF;ELISA
Cellular localization
[Isoform 1]: Cell membrane ; Single-pass type I membrane protein . Lateral cell membrane . Apical cell membrane . Basal cell membrane . Cell junction . Cell junction, adherens junction . Canalicular domain of hepatocyte plasma membranes. Found as a mixture of monomer, dimer and oligomer in the plasma membrane. Occurs predominantly as cis-dimers and/or small cis-oligomers in the cell junction regions. Found as dimer in the solution. Predominantly localized to the lateral cell membranes. .; [Isoform 2]: Secreted .; [Isoform 3]: Secreted .; [Isoform 4]: Secreted .; [Isoform 5]: Cell membrane; Single-pass type I membrane protein.; [Isoform 6]: Cell membrane; Single-pass type I membrane protein.; [Isoform 7]: Cell membrane; Single-pass type I membrane protein.; [Isoform 8]: Cell membrane ; Sing
Clonality
Polyclonal
Concentration
1 mg/ml
Cost per item
74
Geneid human
634/4680/1088
Human swiss prot no
P13688/P40199/P31997
Immunogen
Synthetic peptide from human protein at AA range: 130-190
Isotype
IgG
Product weight
0.005kg
Reactivity
Human;Rat;Mouse;
Recommended dilutions
IHC-p 1:50-200, ELISA 1:10000-20000
Source
Rabbit
Storage
-20°C/1 year
Documents
Documents
Documents
Backgrond
Backgrond
This gene encodes a member of the carcinoembryonic antigen (CEA) gene family, which belongs to the immunoglobulin superfamily. Two subgroups of the CEA family, the CEA cell adhesion molecules and the pregnancy-specific glycoproteins, are located within a 1.2 Mb cluster on the long arm of chromosome 19. Eleven pseudogenes of the CEA cell adhesion molecule subgroup are also found in the cluster. The encoded protein was originally described in bile ducts of liver as biliary glycoprotein. Subsequently, it was found to be a cell-cell adhesion molecule detected on leukocytes, epithelia, and endothelia. The encoded protein mediates cell adhesion via homophilic as well as heterophilic binding to other proteins of the subgroup. Multiple cellular activities have been attributed to the encoded protein, including roles in the differentiation and arrangement of tissue thre
Product Citations
Product Citations
More Info
More Info
CD66a/b/c rabbit pAb
CD66a/b/c rabbit pAb
Vendor: ELK Biotechnology
SKU: ES8788
Regular price
$148.00
Sale price
$148.00
Regular price
Unit price
/per
Shipping calculated at checkout.
Documents
Available in stock (100)
×
Request a Quote
- Free Shipping over $2500
- AI AgentFor Any Questions or Product Search Help
- Track Your Order Status Anytime
Couldn't load pickup availability
Limited time offer
Get $200 off when you spend $2,500 or more!
Product Overview
Product Overview
Applications
IHC;IF;ELISA
Cellular localization
[Isoform 1]: Cell membrane ; Single-pass type I membrane protein . Lateral cell membrane . Apical cell membrane . Basal cell membrane . Cell junction . Cell junction, adherens junction . Canalicular domain of hepatocyte plasma membranes. Found as a mixture of monomer, dimer and oligomer in the plasma membrane. Occurs predominantly as cis-dimers and/or small cis-oligomers in the cell junction regions. Found as dimer in the solution. Predominantly localized to the lateral cell membranes. .; [Isoform 2]: Secreted .; [Isoform 3]: Secreted .; [Isoform 4]: Secreted .; [Isoform 5]: Cell membrane; Single-pass type I membrane protein.; [Isoform 6]: Cell membrane; Single-pass type I membrane protein.; [Isoform 7]: Cell membrane; Single-pass type I membrane protein.; [Isoform 8]: Cell membrane ; Sing
Clonality
Polyclonal
Concentration
1 mg/ml
Cost per item
74
Geneid human
634/4680/1088
Human swiss prot no
P13688/P40199/P31997
Immunogen
Synthetic peptide from human protein at AA range: 130-190
Isotype
IgG
Product weight
0.005kg
Reactivity
Human;Rat;Mouse;
Recommended dilutions
IHC-p 1:50-200, ELISA 1:10000-20000
Source
Rabbit
Storage
-20°C/1 year
Documents
Documents
Documents
Backgrond
Backgrond
This gene encodes a member of the carcinoembryonic antigen (CEA) gene family, which belongs to the immunoglobulin superfamily. Two subgroups of the CEA family, the CEA cell adhesion molecules and the pregnancy-specific glycoproteins, are located within a 1.2 Mb cluster on the long arm of chromosome 19. Eleven pseudogenes of the CEA cell adhesion molecule subgroup are also found in the cluster. The encoded protein was originally described in bile ducts of liver as biliary glycoprotein. Subsequently, it was found to be a cell-cell adhesion molecule detected on leukocytes, epithelia, and endothelia. The encoded protein mediates cell adhesion via homophilic as well as heterophilic binding to other proteins of the subgroup. Multiple cellular activities have been attributed to the encoded protein, including roles in the differentiation and arrangement of tissue thre
Product Citations
Product Citations
More Info
More Info
CD66a/b/c rabbit pAb
Regular price
$148.00
Sale price
$148.00
Regular price
Unit price
/per

