Product Overview
Product Overview
Applications
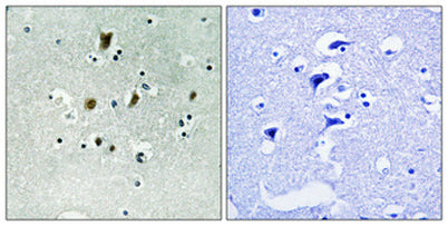
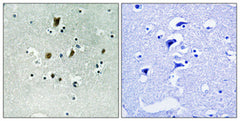
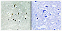
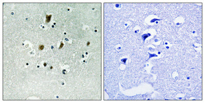
WB;IHC;IF;ELISA
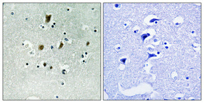
Cellular localization
Cytoplasm, cytoskeleton, microtubule organizing center, centrosome . Cytoplasm, cytoskeleton, spindle . Colocalizes with CDC27 to the centrosome at all stages of the cell cycle and to the mitotic spindle.
Clonality
Polyclonal
Concentration
1 mg/ml
Cost per item
74
Geneid human
8881
Human swiss prot no
Q13042
Immunogen
The antiserum was produced against synthesized peptide derived from human CDC16/APC6 around the phosphorylation site of Ser560. AA range:526-575
Isotype
IgG
Observed band
72kD
Product weight
0.005kg
Reactivity
Human;Mouse
Recommended dilutions
Western Blot: 1/500 - 1/2000. Immunohistochemistry: 1/100 - 1/300. Immunofluorescence: 1/200 - 1/1000. ELISA: 1/20000. Not yet tested in other applications.
Source
Rabbit
Storage
-20°C/1 year
Documents
Documents
Documents
Backgrond
Backgrond
The protein encoded by this gene functions as a protein ubiquitin ligase and is a component of the multiprotein APC complex. The APC complex is a cyclin degradation system that governs exit from mitosis by targeting cell cycle proteins for degredation by the 26S proteasome. Each component protein of the APC complex is highly conserved among eukaryotic organisms. This protein, and other APC complex proteins, contain a tetratricopeptide repeat (TPR) domain; a protein domain that is often involved in protein-protein interactions and the assembly of multiprotein complexes. Multiple alternatively spliced transcript variants, encoding distinct proteins, have been identified. [provided by RefSeq, Jan 2016],
Product Citations
Product Citations
More Info
More Info
Cdc16 (phospho Ser560) rabbit pAb
Cdc16 (phospho Ser560) rabbit pAb
Vendor: ELK Biotechnology
SKU: ES7899
Regular price
$148.00
Sale price
$148.00
Regular price
Unit price
/per
Shipping calculated at checkout.
Documents
Available in stock (100)
×
Request a Quote
- Free Shipping over $2500
- AI AgentFor Any Questions or Product Search Help
- Track Your Order Status Anytime
Couldn't load pickup availability
Limited time offer
Get $200 off when you spend $2,500 or more!
Product Overview
Product Overview
Applications
WB;IHC;IF;ELISA
Cellular localization
Cytoplasm, cytoskeleton, microtubule organizing center, centrosome . Cytoplasm, cytoskeleton, spindle . Colocalizes with CDC27 to the centrosome at all stages of the cell cycle and to the mitotic spindle.
Clonality
Polyclonal
Concentration
1 mg/ml
Cost per item
74
Geneid human
8881
Human swiss prot no
Q13042
Immunogen
The antiserum was produced against synthesized peptide derived from human CDC16/APC6 around the phosphorylation site of Ser560. AA range:526-575
Isotype
IgG
Observed band
72kD
Product weight
0.005kg
Reactivity
Human;Mouse
Recommended dilutions
Western Blot: 1/500 - 1/2000. Immunohistochemistry: 1/100 - 1/300. Immunofluorescence: 1/200 - 1/1000. ELISA: 1/20000. Not yet tested in other applications.
Source
Rabbit
Storage
-20°C/1 year
Documents
Documents
Documents
Backgrond
Backgrond
The protein encoded by this gene functions as a protein ubiquitin ligase and is a component of the multiprotein APC complex. The APC complex is a cyclin degradation system that governs exit from mitosis by targeting cell cycle proteins for degredation by the 26S proteasome. Each component protein of the APC complex is highly conserved among eukaryotic organisms. This protein, and other APC complex proteins, contain a tetratricopeptide repeat (TPR) domain; a protein domain that is often involved in protein-protein interactions and the assembly of multiprotein complexes. Multiple alternatively spliced transcript variants, encoding distinct proteins, have been identified. [provided by RefSeq, Jan 2016],
Product Citations
Product Citations
More Info
More Info
Cdc16 (phospho Ser560) rabbit pAb
Regular price
$148.00
Sale price
$148.00
Regular price
Unit price
/per

