Product Overview
Product Overview
Applications
WB;ELISA
Cellular localization
Nucleus. Cytoplasm. Mitochondrion . Cytoplasm, cytoskeleton, microtubule organizing center, centrosome . Cytoplasm, cytoskeleton, spindle. Cytoplasmic during the interphase. Colocalizes with SIRT2 on centrosome during prophase and on splindle fibers during metaphase of the mitotic cell cycle. Reversibly translocated from cytoplasm to nucleus when phosphorylated before G2-M transition when associated with cyclin-B1. Accumulates in mitochondria in G2-arrested cells upon DNA-damage.
Clonality
Polyclonal
Concentration
1 mg/ml
Cost per item
74
Geneid human
983
Human swiss prot no
P06493
Immunogen
The antiserum was produced against synthesized peptide derived from human CDC2 around the phosphorylation site of Tyr15. AA range:5-54
Isotype
IgG
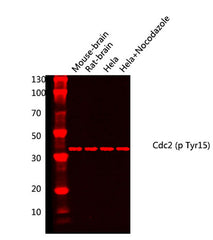
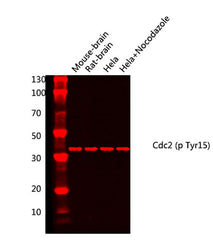
Observed band
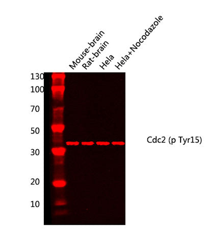
34kD
Product weight
0.005kg
Reactivity
Human;Mouse;Rat;Monkey
Recommended dilutions
Western Blot: 1/500 - 1/2000. ELISA: 1/10000. Not yet tested in other applications.
Source
Rabbit
Storage
-20°C/1 year
Documents
Documents
Documents
Backgrond
Backgrond
cyclin dependent kinase 1(CDK1) Homo sapiens The protein encoded by this gene is a member of the Ser/Thr protein kinase family. This protein is a catalytic subunit of the highly conserved protein kinase complex known as M-phase promoting factor (MPF), which is essential for G1/S and G2/M phase transitions of eukaryotic cell cycle. Mitotic cyclins stably associate with this protein and function as regulatory subunits. The kinase activity of this protein is controlled by cyclin accumulation and destruction through the cell cycle. The phosphorylation and dephosphorylation of this protein also play important regulatory roles in cell cycle control. Alternatively spliced transcript variants encoding different isoforms have been found for this gene. [provided by RefSeq, Mar 2009],
Product Citations
Product Citations
More Info
More Info
Cdc2 (phospho Tyr15) rabbit pAb
Cdc2 (phospho Tyr15) rabbit pAb
Vendor: ELK Biotechnology
SKU: ES1281
Regular price
$148.00
Sale price
$148.00
Regular price
Unit price
/per
Shipping calculated at checkout.
Documents
Available in stock (100)
×
Request a Quote
- Free Shipping over $2500
- AI AgentFor Any Questions or Product Search Help
- Track Your Order Status Anytime
Couldn't load pickup availability
Limited time offer
Get $200 off when you spend $2,500 or more!
Product Overview
Product Overview
Applications
WB;ELISA
Cellular localization
Nucleus. Cytoplasm. Mitochondrion . Cytoplasm, cytoskeleton, microtubule organizing center, centrosome . Cytoplasm, cytoskeleton, spindle. Cytoplasmic during the interphase. Colocalizes with SIRT2 on centrosome during prophase and on splindle fibers during metaphase of the mitotic cell cycle. Reversibly translocated from cytoplasm to nucleus when phosphorylated before G2-M transition when associated with cyclin-B1. Accumulates in mitochondria in G2-arrested cells upon DNA-damage.
Clonality
Polyclonal
Concentration
1 mg/ml
Cost per item
74
Geneid human
983
Human swiss prot no
P06493
Immunogen
The antiserum was produced against synthesized peptide derived from human CDC2 around the phosphorylation site of Tyr15. AA range:5-54
Isotype
IgG
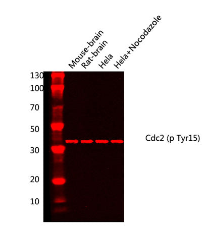
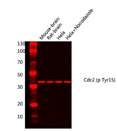
Observed band
34kD
Product weight
0.005kg
Reactivity
Human;Mouse;Rat;Monkey
Recommended dilutions
Western Blot: 1/500 - 1/2000. ELISA: 1/10000. Not yet tested in other applications.
Source
Rabbit
Storage
-20°C/1 year
Documents
Documents
Documents
Backgrond
Backgrond
cyclin dependent kinase 1(CDK1) Homo sapiens The protein encoded by this gene is a member of the Ser/Thr protein kinase family. This protein is a catalytic subunit of the highly conserved protein kinase complex known as M-phase promoting factor (MPF), which is essential for G1/S and G2/M phase transitions of eukaryotic cell cycle. Mitotic cyclins stably associate with this protein and function as regulatory subunits. The kinase activity of this protein is controlled by cyclin accumulation and destruction through the cell cycle. The phosphorylation and dephosphorylation of this protein also play important regulatory roles in cell cycle control. Alternatively spliced transcript variants encoding different isoforms have been found for this gene. [provided by RefSeq, Mar 2009],
Product Citations
Product Citations
More Info
More Info
Cdc2 (phospho Tyr15) rabbit pAb
Regular price
$148.00
Sale price
$148.00
Regular price
Unit price
/per

