Product Overview
Product Overview
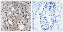
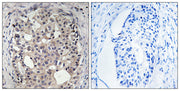
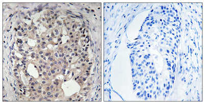
Applications
WB;IHC;IF;ELISA
Cellular localization
intracellular,nucleus,nucleoplasm,cytoplasm,cytosol,
Clonality
Polyclonal
Concentration
1 mg/ml
Cost per item
74
Geneid human
993
Human swiss prot no
P30304
Immunogen
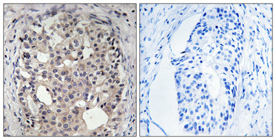
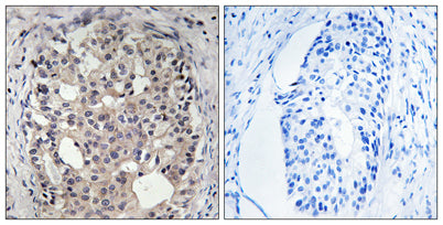
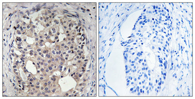
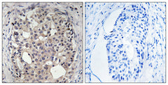
The antiserum was produced against synthesized peptide derived from human CDC25A around the phosphorylation site of Ser178. AA range:144-193
Isotype
IgG
Observed band
59kD
Product weight
0.005kg
Reactivity
Human;Mouse;Rat
Recommended dilutions
Western Blot: 1/500 - 1/2000. Immunohistochemistry: 1/100 - 1/300. ELISA: 1/10000. Not yet tested in other applications.
Source
Rabbit
Storage
-20°C/1 year
Documents
Documents
Documents
Backgrond
Backgrond
cell division cycle 25A(CDC25A) Homo sapiens CDC25A is a member of the CDC25 family of phosphatases. CDC25A is required for progression from G1 to the S phase of the cell cycle. It activates the cyclin-dependent kinase CDC2 by removing two phosphate groups. CDC25A is specifically degraded in response to DNA damage, which prevents cells with chromosomal abnormalities from progressing through cell division. CDC25A is an oncogene, although its exact role in oncogenesis has not been demonstrated. Two transcript variants encoding different isoforms have been found for this gene. [provided by RefSeq, Jul 2008],
Product Citations
Product Citations
More Info
More Info
Cdc25A (phospho Ser178) rabbit pAb
Cdc25A (phospho Ser178) rabbit pAb
Vendor: ELK Biotechnology
SKU: ES8130
Regular price
$148.00
Sale price
$148.00
Regular price
Unit price
/per
Shipping calculated at checkout.
Documents
Available in stock (100)
×
Request a Quote
- Free Shipping over $2500
- AI AgentFor Any Questions or Product Search Help
- Track Your Order Status Anytime
Couldn't load pickup availability
Limited time offer
Get $200 off when you spend $2,500 or more!
Product Overview
Product Overview
Applications
WB;IHC;IF;ELISA
Cellular localization
intracellular,nucleus,nucleoplasm,cytoplasm,cytosol,
Clonality
Polyclonal
Concentration
1 mg/ml
Cost per item
74
Geneid human
993
Human swiss prot no
P30304
Immunogen
The antiserum was produced against synthesized peptide derived from human CDC25A around the phosphorylation site of Ser178. AA range:144-193
Isotype
IgG
Observed band
59kD
Product weight
0.005kg
Reactivity
Human;Mouse;Rat
Recommended dilutions
Western Blot: 1/500 - 1/2000. Immunohistochemistry: 1/100 - 1/300. ELISA: 1/10000. Not yet tested in other applications.
Source
Rabbit
Storage
-20°C/1 year
Documents
Documents
Documents
Backgrond
Backgrond
cell division cycle 25A(CDC25A) Homo sapiens CDC25A is a member of the CDC25 family of phosphatases. CDC25A is required for progression from G1 to the S phase of the cell cycle. It activates the cyclin-dependent kinase CDC2 by removing two phosphate groups. CDC25A is specifically degraded in response to DNA damage, which prevents cells with chromosomal abnormalities from progressing through cell division. CDC25A is an oncogene, although its exact role in oncogenesis has not been demonstrated. Two transcript variants encoding different isoforms have been found for this gene. [provided by RefSeq, Jul 2008],
Product Citations
Product Citations
More Info
More Info
Cdc25A (phospho Ser178) rabbit pAb
Regular price
$148.00
Sale price
$148.00
Regular price
Unit price
/per

