Product Overview
Product Overview
Applications
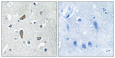
IHC;IF;ELISA
Cellular localization
Cytoplasm, cytoskeleton, microtubule organizing center, centrosome . Golgi apparatus . Cytoplasm . Cytoplasm, cytoskeleton . Found in the pericentriolar region adhering to the surface of the centrosome and in the region of the centrosomal appendages. Localizes to microtubule plus ends in the presence of EB1/MAPRE1. Localization to centrosomes versus Golgi apparatus may be cell type-dependent. For instance, in SK-BR-3 and HEK293F cells, localizes to centrosomes but not to the Golgi apparatus (PubMed:29162697). .
Clonality
Polyclonal
Concentration
1 mg/ml
Cost per item
74
Geneid human
55755
Human swiss prot no
Q96SN8
Immunogen
The antiserum was produced against synthesized peptide derived from human CDK5RAP2. AA range:251-300
Isotype
IgG
Product weight
0.005kg
Reactivity
Human;Rat;Mouse;
Recommended dilutions
Immunohistochemistry: 1/100 - 1/300. ELISA: 1/20000. Not yet tested in other applications.
Source
Rabbit
Storage
-20°C/1 year
Documents
Documents
Documents
Backgrond
Backgrond
This gene encodes a regulator of CDK5 (cyclin-dependent kinase 5) activity. The protein encoded by this gene is localized to the centrosome and Golgi complex, interacts with CDK5R1 and pericentrin (PCNT), plays a role in centriole engagement and microtubule nucleation, and has been linked to primary microcephaly and Alzheimer's disease. Alternative splicing results in multiple transcript variants. [provided by RefSeq, Jan 2013],
Product Citations
Product Citations
More Info
More Info
CDK5 Activator-binding C48 rabbit pAb
CDK5 Activator-binding C48 rabbit pAb
Vendor: ELK Biotechnology
SKU: ES6757
Regular price
$148.00
Sale price
$148.00
Regular price
Unit price
/per
Shipping calculated at checkout.
Documents
Available in stock (100)
×
Request a Quote
- Free Shipping over $2500
- AI AgentFor Any Questions or Product Search Help
- Track Your Order Status Anytime
Couldn't load pickup availability
Limited time offer
Get $200 off when you spend $2,500 or more!
Product Overview
Product Overview
Applications
IHC;IF;ELISA
Cellular localization
Cytoplasm, cytoskeleton, microtubule organizing center, centrosome . Golgi apparatus . Cytoplasm . Cytoplasm, cytoskeleton . Found in the pericentriolar region adhering to the surface of the centrosome and in the region of the centrosomal appendages. Localizes to microtubule plus ends in the presence of EB1/MAPRE1. Localization to centrosomes versus Golgi apparatus may be cell type-dependent. For instance, in SK-BR-3 and HEK293F cells, localizes to centrosomes but not to the Golgi apparatus (PubMed:29162697). .
Clonality
Polyclonal
Concentration
1 mg/ml
Cost per item
74
Geneid human
55755
Human swiss prot no
Q96SN8
Immunogen
The antiserum was produced against synthesized peptide derived from human CDK5RAP2. AA range:251-300
Isotype
IgG
Product weight
0.005kg
Reactivity
Human;Rat;Mouse;
Recommended dilutions
Immunohistochemistry: 1/100 - 1/300. ELISA: 1/20000. Not yet tested in other applications.
Source
Rabbit
Storage
-20°C/1 year
Documents
Documents
Documents
Backgrond
Backgrond
This gene encodes a regulator of CDK5 (cyclin-dependent kinase 5) activity. The protein encoded by this gene is localized to the centrosome and Golgi complex, interacts with CDK5R1 and pericentrin (PCNT), plays a role in centriole engagement and microtubule nucleation, and has been linked to primary microcephaly and Alzheimer's disease. Alternative splicing results in multiple transcript variants. [provided by RefSeq, Jan 2013],
Product Citations
Product Citations
More Info
More Info
CDK5 Activator-binding C48 rabbit pAb
Regular price
$148.00
Sale price
$148.00
Regular price
Unit price
/per

