Product Overview
Product Overview
Applications
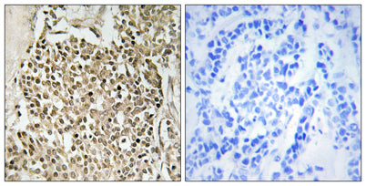
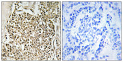
IHC;IF;ELISA
Cellular localization
Cytoplasm, cytoskeleton, microtubule organizing center, centrosome . Cytoplasm, cytoskeleton, spindle . Nucleus . Cytoplasm, cytoskeleton, microtubule organizing center, centrosome, centriole . Cytoplasm, cytoskeleton, cilium basal body . Associated with mitotic spindles (PubMed:16314388). Nuclear, in discrete foci. Associated with intermediate filaments (PubMed:15615782). Also present in the pericentrosomal area (PubMed:17878239). Localizes on both mother and daughter centrioles. Localizes to an axial position on the mother centriole (PubMed:28625565). Localizes to the distal end of the centriole on the subdistal appendage region (PubMed:28659385). .
Clonality
Polyclonal
Concentration
1 mg/ml
Cost per item
74
Geneid human
9857
Human swiss prot no
Q5VT06
Immunogen
The antiserum was produced against synthesized peptide derived from human CEP35. AA range:671-720
Isotype
IgG
Product weight
0.005kg
Reactivity
Human;Rat;Mouse;
Recommended dilutions
Immunohistochemistry: 1/100 - 1/300. ELISA: 1/40000. Not yet tested in other applications.
Source
Rabbit
Storage
-20°C/1 year
Documents
Documents
Documents
Backgrond
Backgrond
centrosomal protein 350(CEP350) Homo sapiens The product of this gene is a large protein with a CAP-Gly domain typically found in cytoskeleton-associated proteins. The encoded protein primarily localizes to the centrosome, a non-membraneous organelle that functions as the major microtubule-organizing center in animal cells. The encoded protein directly interacts with another large centrosomal protein and is required to anchor microtubules at the centrosome. It is also implicated in the regulation of a class of nuclear hormone receptors in the nucleus. Several alternatively spliced transcript variants have been found, but their full-length nature has not been determined. [provided by RefSeq, Jul 2008],
Product Citations
Product Citations
More Info
More Info
CEP350 rabbit pAb
CEP350 rabbit pAb
Vendor: ELK Biotechnology
SKU: ES8113
Regular price
$148.00
Sale price
$148.00
Regular price
Unit price
/per
Shipping calculated at checkout.
Documents
Available in stock (100)
×
Request a Quote
- Free Shipping over $2500
- AI AgentFor Any Questions or Product Search Help
- Track Your Order Status Anytime
Couldn't load pickup availability
Limited time offer
Get $200 off when you spend $2,500 or more!
Product Overview
Product Overview
Applications
IHC;IF;ELISA
Cellular localization
Cytoplasm, cytoskeleton, microtubule organizing center, centrosome . Cytoplasm, cytoskeleton, spindle . Nucleus . Cytoplasm, cytoskeleton, microtubule organizing center, centrosome, centriole . Cytoplasm, cytoskeleton, cilium basal body . Associated with mitotic spindles (PubMed:16314388). Nuclear, in discrete foci. Associated with intermediate filaments (PubMed:15615782). Also present in the pericentrosomal area (PubMed:17878239). Localizes on both mother and daughter centrioles. Localizes to an axial position on the mother centriole (PubMed:28625565). Localizes to the distal end of the centriole on the subdistal appendage region (PubMed:28659385). .
Clonality
Polyclonal
Concentration
1 mg/ml
Cost per item
74
Geneid human
9857
Human swiss prot no
Q5VT06
Immunogen
The antiserum was produced against synthesized peptide derived from human CEP35. AA range:671-720
Isotype
IgG
Product weight
0.005kg
Reactivity
Human;Rat;Mouse;
Recommended dilutions
Immunohistochemistry: 1/100 - 1/300. ELISA: 1/40000. Not yet tested in other applications.
Source
Rabbit
Storage
-20°C/1 year
Documents
Documents
Documents
Backgrond
Backgrond
centrosomal protein 350(CEP350) Homo sapiens The product of this gene is a large protein with a CAP-Gly domain typically found in cytoskeleton-associated proteins. The encoded protein primarily localizes to the centrosome, a non-membraneous organelle that functions as the major microtubule-organizing center in animal cells. The encoded protein directly interacts with another large centrosomal protein and is required to anchor microtubules at the centrosome. It is also implicated in the regulation of a class of nuclear hormone receptors in the nucleus. Several alternatively spliced transcript variants have been found, but their full-length nature has not been determined. [provided by RefSeq, Jul 2008],
Product Citations
Product Citations
More Info
More Info
CEP350 rabbit pAb
Regular price
$148.00
Sale price
$148.00
Regular price
Unit price
/per

