Product Overview
Product Overview
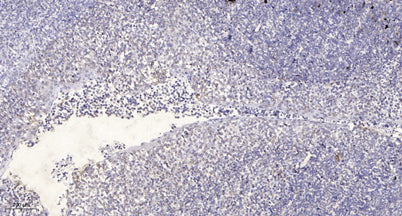
Applications
IHC;IF;WB;ELISA
Cellular localization
Cytoplasm . Cytoplasm, cytoskeleton, microtubule organizing center, centrosome, centriole . Cytoplasm, cytoskeleton, microtubule organizing center, centrosome . Cleavage furrow . Midbody, Midbody ring . Present at the centrosomes at interphase. A small portion is associated preferentially with the mother centriole, whereas the majority localizes to the pericentriolar material. During mitosis, loses affinity for the centrosome at the onset of prophase and diffuses throughout the cell. This dissociation from the centrosome is phosphorylation-dependent. May remain localized at the centrosome during mitosis in certain cell types. Appears at the cleavage furrow in late anaphase and in the midbody in cytokinesis. .
Clonality
Polyclonal
Concentration
1 mg/ml
Cost per item
74
Geneid human
55165
Human swiss prot no
Q53EZ4
Immunogen
Synthesized phospho-peptide around the phosphorylation site of human CEP55 (phospho Ser425)
Isotype
IgG
Product weight
0.005kg
Reactivity
Human;Rat;Mouse;
Recommended dilutions
WB 1:500-2000 Immunohistochemistry: 1/100 - 1/300. ELISA: 1/20000. Not yet tested in other applications.
Source
Rabbit
Storage
-20°C/1 year
Documents
Documents
Documents
Backgrond
Backgrond
function:Plays a role in mitotic exit and cytokinesis. Not required for microtubule nucleation. Recruits PDCD6IP and TSG101 to midbody during cytokinesis.,PTM:There is a hierachy of phosphorylation, where both Ser-425 and Ser-428 are phosphorylated at the onset of mitosis, prior to Ser-436. Phosphorylation at Ser-425 and Ser-428 is required for dissociation from the centrosome at the G2/M boundary. Phosphorylation at the 3 sites, Ser-425, Ser-428 and Ser-436, is required for protein function at the final stages of cell division to complete cytokinesis successfully.,subcellular location:Present at the centrosomes at interphase. A small portion is associated preferentially with the mother centriole, whereas the majority localizes to the pericentriolar material. During mitosis, loss of affinity for the centrosome at the onset of prophase and diffusion throughout the cell. This dissociation from the centrosome is phosphorylation-dependent. May remain localized at the centrosome during mitosis in certain cell types. Appears at the cleavage furrow in late anaphase and in the midbody in cytokinesis.,subunit:Homodimer. Interacts (phosphorylated on Ser-425 and Ser-428) with PLK1. Interacts with AKAP9; the interaction occurs in interphase and is lost upon mitotic entry. Interacts with PCNT; the interaction occurs in interphase and is lost upon mitotic entry. Interacts with PDCD6IP; the interaction is direct; CEP55 binds PDCD6IP in a 2:1 stoechiometry; PDCD6IP competes with TSG101 for the same binding site. Interacts with TSG101; TSG101 competes with PDCD6IP for the same binding site; interaction is required for cytokinesis but not for viral budding. Interacts with FAM125A, VPS37B, VPS37C and VPS28.,tissue specificity:Widely expressed, mostly in proliferative tissues. Highly expressed in testis. Intermediate levels in adult and fetal thymus, as well as in various cancer cell lines. Low levels in different parts of the digestive tract, bone marrow, lymph nodes, placenta, fetal heart and fetal spleen. Hardly detected in brain.,
Product Citations
Product Citations
More Info
More Info
CEP55 (phospho Ser425) rabbit pAb
CEP55 (phospho Ser425) rabbit pAb
Vendor: ELK Biotechnology
SKU: ES6712
Regular price
$148.00
Sale price
$148.00
Regular price
Unit price
/per
Shipping calculated at checkout.
Documents
Available in stock (100)
×
Request a Quote
- Free Shipping over $2500
- AI AgentFor Any Questions or Product Search Help
- Track Your Order Status Anytime
Couldn't load pickup availability
Limited time offer
Get $200 off when you spend $2,500 or more!
Product Overview
Product Overview
Applications
IHC;IF;WB;ELISA
Cellular localization
Cytoplasm . Cytoplasm, cytoskeleton, microtubule organizing center, centrosome, centriole . Cytoplasm, cytoskeleton, microtubule organizing center, centrosome . Cleavage furrow . Midbody, Midbody ring . Present at the centrosomes at interphase. A small portion is associated preferentially with the mother centriole, whereas the majority localizes to the pericentriolar material. During mitosis, loses affinity for the centrosome at the onset of prophase and diffuses throughout the cell. This dissociation from the centrosome is phosphorylation-dependent. May remain localized at the centrosome during mitosis in certain cell types. Appears at the cleavage furrow in late anaphase and in the midbody in cytokinesis. .
Clonality
Polyclonal
Concentration
1 mg/ml
Cost per item
74
Geneid human
55165
Human swiss prot no
Q53EZ4
Immunogen
Synthesized phospho-peptide around the phosphorylation site of human CEP55 (phospho Ser425)
Isotype
IgG
Product weight
0.005kg
Reactivity
Human;Rat;Mouse;
Recommended dilutions
WB 1:500-2000 Immunohistochemistry: 1/100 - 1/300. ELISA: 1/20000. Not yet tested in other applications.
Source
Rabbit
Storage
-20°C/1 year
Documents
Documents
Documents
Backgrond
Backgrond
function:Plays a role in mitotic exit and cytokinesis. Not required for microtubule nucleation. Recruits PDCD6IP and TSG101 to midbody during cytokinesis.,PTM:There is a hierachy of phosphorylation, where both Ser-425 and Ser-428 are phosphorylated at the onset of mitosis, prior to Ser-436. Phosphorylation at Ser-425 and Ser-428 is required for dissociation from the centrosome at the G2/M boundary. Phosphorylation at the 3 sites, Ser-425, Ser-428 and Ser-436, is required for protein function at the final stages of cell division to complete cytokinesis successfully.,subcellular location:Present at the centrosomes at interphase. A small portion is associated preferentially with the mother centriole, whereas the majority localizes to the pericentriolar material. During mitosis, loss of affinity for the centrosome at the onset of prophase and diffusion throughout the cell. This dissociation from the centrosome is phosphorylation-dependent. May remain localized at the centrosome during mitosis in certain cell types. Appears at the cleavage furrow in late anaphase and in the midbody in cytokinesis.,subunit:Homodimer. Interacts (phosphorylated on Ser-425 and Ser-428) with PLK1. Interacts with AKAP9; the interaction occurs in interphase and is lost upon mitotic entry. Interacts with PCNT; the interaction occurs in interphase and is lost upon mitotic entry. Interacts with PDCD6IP; the interaction is direct; CEP55 binds PDCD6IP in a 2:1 stoechiometry; PDCD6IP competes with TSG101 for the same binding site. Interacts with TSG101; TSG101 competes with PDCD6IP for the same binding site; interaction is required for cytokinesis but not for viral budding. Interacts with FAM125A, VPS37B, VPS37C and VPS28.,tissue specificity:Widely expressed, mostly in proliferative tissues. Highly expressed in testis. Intermediate levels in adult and fetal thymus, as well as in various cancer cell lines. Low levels in different parts of the digestive tract, bone marrow, lymph nodes, placenta, fetal heart and fetal spleen. Hardly detected in brain.,
Product Citations
Product Citations
More Info
More Info
CEP55 (phospho Ser425) rabbit pAb
Regular price
$148.00
Sale price
$148.00
Regular price
Unit price
/per

