Product Overview
Product Overview
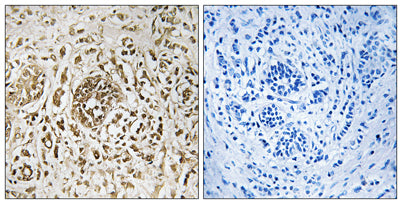
Applications
IHC;IF;ELISA
Cellular localization
Cytoplasm . Cell projection, stereocilium . Photoreceptor inner segment . Cell projection, cilium, photoreceptor outer segment . Cell membrane, sarcolemma . Colocalized with ITGA7 at the myotendinous junctions (MTJ) and at the neuromuscular junctions (NMJ) (By similarity). Localizes in the cuticular plate along and at the tip of the stereocilia of vestibular sensory hair cells (PubMed:26173970, PubMed:26426422). .
Clonality
Polyclonal
Concentration
1 mg/ml
Cost per item
74
Geneid human
10518
Human swiss prot no
O75838
Immunogen
The antiserum was produced against synthesized peptide derived from human CIB2. AA range:21-70
Isotype
IgG
Product weight
0.005kg
Reactivity
Human;Mouse;Rat
Recommended dilutions
Immunohistochemistry: 1/100 - 1/300. ELISA: 1/5000. Not yet tested in other applications.
Source
Rabbit
Storage
-20°C/1 year
Documents
Documents
Documents
Backgrond
Backgrond
The protein encoded by this gene is similar to that of KIP/CIB, calcineurin B, and calmodulin. The encoded protein is a calcium-binding regulatory protein that interacts with DNA-dependent protein kinase catalytic subunits (DNA-PKcs), and it is involved in photoreceptor cell maintenance. Mutations in this gene cause deafness, autosomal recessive, 48 (DFNB48), and also Usher syndrome 1J (USH1J). Alternative splicing results in multiple transcript variants. [provided by RefSeq, Jul 2014],
Product Citations
Product Citations
More Info
More Info
CIB2 rabbit pAb
CIB2 rabbit pAb
Vendor: ELK Biotechnology
SKU: ES4493
Regular price
$148.00
Sale price
$148.00
Regular price
Unit price
/per
Shipping calculated at checkout.
Documents
Available in stock (100)
×
Request a Quote
- Free Shipping over $2500
- AI AgentFor Any Questions or Product Search Help
- Track Your Order Status Anytime
Couldn't load pickup availability
Limited time offer
Get $200 off when you spend $2,500 or more!
Product Overview
Product Overview
Applications
IHC;IF;ELISA
Cellular localization
Cytoplasm . Cell projection, stereocilium . Photoreceptor inner segment . Cell projection, cilium, photoreceptor outer segment . Cell membrane, sarcolemma . Colocalized with ITGA7 at the myotendinous junctions (MTJ) and at the neuromuscular junctions (NMJ) (By similarity). Localizes in the cuticular plate along and at the tip of the stereocilia of vestibular sensory hair cells (PubMed:26173970, PubMed:26426422). .
Clonality
Polyclonal
Concentration
1 mg/ml
Cost per item
74
Geneid human
10518
Human swiss prot no
O75838
Immunogen
The antiserum was produced against synthesized peptide derived from human CIB2. AA range:21-70
Isotype
IgG
Product weight
0.005kg
Reactivity
Human;Mouse;Rat
Recommended dilutions
Immunohistochemistry: 1/100 - 1/300. ELISA: 1/5000. Not yet tested in other applications.
Source
Rabbit
Storage
-20°C/1 year
Documents
Documents
Documents
Backgrond
Backgrond
The protein encoded by this gene is similar to that of KIP/CIB, calcineurin B, and calmodulin. The encoded protein is a calcium-binding regulatory protein that interacts with DNA-dependent protein kinase catalytic subunits (DNA-PKcs), and it is involved in photoreceptor cell maintenance. Mutations in this gene cause deafness, autosomal recessive, 48 (DFNB48), and also Usher syndrome 1J (USH1J). Alternative splicing results in multiple transcript variants. [provided by RefSeq, Jul 2014],
Product Citations
Product Citations
More Info
More Info
CIB2 rabbit pAb
Regular price
$148.00
Sale price
$148.00
Regular price
Unit price
/per

