Product Overview
Product Overview
Applications
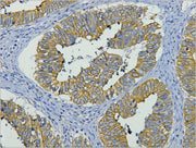
IHC
Cellular localization
Cytoskeleton,Cytosol
Clonality
Monoclonal
Concentration
1mg/mL
Cost per item
74
Geneid human
3880
Human swiss prot no
P08727
Immunogen
Synthetic Peptide
Isotype
IgG1
Observed band
44kDa
Product weight
0.005kg
Reactivity
Human, Rat, Mouse
Recommended dilutions
IHC 1:200
Source
Mouse
Storage
PBS with 0.02% sodium azide and 50% glycerol pH 7.4. Store at -20°C. Avoid repeated freeze-thaw cycles.
Documents
Documents
Documents
Backgrond
Backgrond
This protein is a member of the keratin family. The type I cytokeratins consist of acidic proteins which are arranged in pairs of heterotypic keratin chains. Unlike its related family members, this smallest known acidic cytokeratin is not paired with a basic cytokeratin in epithelial cells. It is specifically expressed in the periderm, the transiently superficial layer that envelopes the developing epidermis. Keratin 19 is not expressed in hepatocytes, therefore, antibody to keratin 19 is useful in the identification of liver metastasis. The degree of keratin 19 positivity in breast cancer distinguishes malignant from benign tumours. Keratin 19 is often co-expressed with keratin 7.
Product Citations
Product Citations
More Info
More Info
CK19 Mouse mAb
CK19 Mouse mAb
Vendor: ELK Biotechnology
SKU: EM1051
Regular price
$148.00
Sale price
$148.00
Regular price
Unit price
/per
Shipping calculated at checkout.
Documents
Available in stock (100)
×
Request a Quote
- Free Shipping over $2500
- AI AgentFor Any Questions or Product Search Help
- Track Your Order Status Anytime
Couldn't load pickup availability
Limited time offer
Get $200 off when you spend $2,500 or more!
Product Overview
Product Overview
Applications
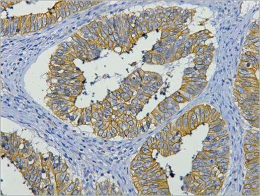
IHC
Cellular localization
Cytoskeleton,Cytosol
Clonality
Monoclonal
Concentration
1mg/mL
Cost per item
74
Geneid human
3880
Human swiss prot no
P08727
Immunogen
Synthetic Peptide
Isotype
IgG1
Observed band
44kDa
Product weight
0.005kg
Reactivity
Human, Rat, Mouse
Recommended dilutions
IHC 1:200
Source
Mouse
Storage
PBS with 0.02% sodium azide and 50% glycerol pH 7.4. Store at -20°C. Avoid repeated freeze-thaw cycles.
Documents
Documents
Documents
Backgrond
Backgrond
This protein is a member of the keratin family. The type I cytokeratins consist of acidic proteins which are arranged in pairs of heterotypic keratin chains. Unlike its related family members, this smallest known acidic cytokeratin is not paired with a basic cytokeratin in epithelial cells. It is specifically expressed in the periderm, the transiently superficial layer that envelopes the developing epidermis. Keratin 19 is not expressed in hepatocytes, therefore, antibody to keratin 19 is useful in the identification of liver metastasis. The degree of keratin 19 positivity in breast cancer distinguishes malignant from benign tumours. Keratin 19 is often co-expressed with keratin 7.
Product Citations
Product Citations
More Info
More Info
CK19 Mouse mAb
Regular price
$148.00
Sale price
$148.00
Regular price
Unit price
/per

