Product Overview
Product Overview
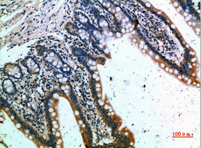
Applications
IHC;IF;ELISA
Cellular localization
Cell membrane ; Multi-pass membrane protein .
Clonality
Polyclonal
Concentration
1 mg/ml
Cost per item
74
Geneid human
1230
Human swiss prot no
P32246
Immunogen
Synthetic peptide from human protein at AA range: 151-200
Isotype
IgG
Product weight
0.005kg
Reactivity
Human;Rat;Mouse;
Recommended dilutions
IHC-p 1:50-200, ELISA 1:10000-20000
Source
Rabbit
Storage
-20°C/1 year
Documents
Documents
Documents
Backgrond
Backgrond
This gene encodes a member of the beta chemokine receptor family, which is predicted to be a seven transmembrane protein similar to G protein-coupled receptors. The ligands of this receptor include macrophage inflammatory protein 1 alpha (MIP-1 alpha), regulated on activation normal T expressed and secreted protein (RANTES), monocyte chemoattractant protein 3 (MCP-3), and myeloid progenitor inhibitory factor-1 (MPIF-1). Chemokines and their receptors mediated signal transduction are critical for the recruitment of effector immune cells to the site of inflammation. Knockout studies of the mouse homolog suggested the roles of this gene in host protection from inflammatory response, and susceptibility to virus and parasite. This gene and other chemokine receptor genes, including CCR2, CCRL2, CCR3, CCR5 and CCXCR1, are found to form a gene cluster on chromosome 3p. [provided by RefSeq, Jul 2008]
Product Citations
Product Citations
More Info
More Info
CKR-1 rabbit pAb
CKR-1 rabbit pAb
Vendor: ELK Biotechnology
SKU: ES8693
Regular price
$148.00
Sale price
$148.00
Regular price
Unit price
/per
Shipping calculated at checkout.
Documents
Available in stock (100)
×
Request a Quote
- Free Shipping over $2500
- AI AgentFor Any Questions or Product Search Help
- Track Your Order Status Anytime
Couldn't load pickup availability
Limited time offer
Get $200 off when you spend $2,500 or more!
Product Overview
Product Overview
Applications
IHC;IF;ELISA
Cellular localization
Cell membrane ; Multi-pass membrane protein .
Clonality
Polyclonal
Concentration
1 mg/ml
Cost per item
74
Geneid human
1230
Human swiss prot no
P32246
Immunogen
Synthetic peptide from human protein at AA range: 151-200
Isotype
IgG
Product weight
0.005kg
Reactivity
Human;Rat;Mouse;
Recommended dilutions
IHC-p 1:50-200, ELISA 1:10000-20000
Source
Rabbit
Storage
-20°C/1 year
Documents
Documents
Documents
Backgrond
Backgrond
This gene encodes a member of the beta chemokine receptor family, which is predicted to be a seven transmembrane protein similar to G protein-coupled receptors. The ligands of this receptor include macrophage inflammatory protein 1 alpha (MIP-1 alpha), regulated on activation normal T expressed and secreted protein (RANTES), monocyte chemoattractant protein 3 (MCP-3), and myeloid progenitor inhibitory factor-1 (MPIF-1). Chemokines and their receptors mediated signal transduction are critical for the recruitment of effector immune cells to the site of inflammation. Knockout studies of the mouse homolog suggested the roles of this gene in host protection from inflammatory response, and susceptibility to virus and parasite. This gene and other chemokine receptor genes, including CCR2, CCRL2, CCR3, CCR5 and CCXCR1, are found to form a gene cluster on chromosome 3p. [provided by RefSeq, Jul 2008]
Product Citations
Product Citations
More Info
More Info
CKR-1 rabbit pAb
Regular price
$148.00
Sale price
$148.00
Regular price
Unit price
/per

