Product Overview
Product Overview
Applications
WB;IHC;IF;ELISA
Cellular localization
[Isoform 1]: Cell membrane; Single-pass type I membrane protein.; [Isoform 2]: Cell membrane; Single-pass type I membrane protein.; [Isoform 3]: Cytoplasm . Detected in the cytoplasm of spermatozoa, especially in the equatorial and subacrosomal region of the sperm head. .
Clonality
Polyclonal
Concentration
1 mg/ml
Cost per item
74
Geneid human
3815
Human swiss prot no
P10721
Immunogen
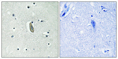
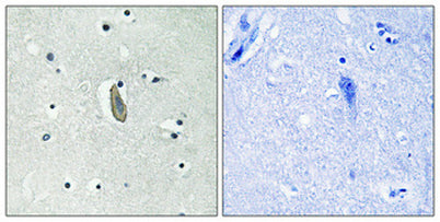
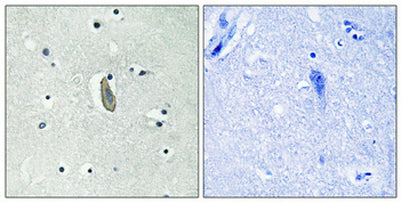
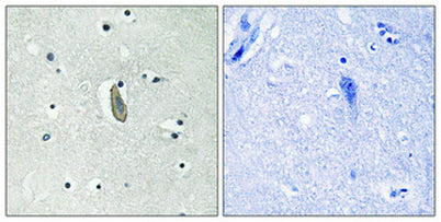
The antiserum was produced against synthesized peptide derived from human KIT around the phosphorylation site of Tyr936. AA range:906-955
Isotype
IgG
Observed band
145kD
Product weight
0.005kg
Reactivity
Human;Mouse
Recommended dilutions
Western Blot: 1/500 - 1/2000. Immunohistochemistry: 1/100 - 1/300. ELISA: 1/5000. Not yet tested in other applications.
Source
Rabbit
Storage
-20°C/1 year
Documents
Documents
Background
Background
This gene encodes the human homolog of the proto-oncogene c-kit. C-kit was first identified as the cellular homolog of the feline sarcoma viral oncogene v-kit. This protein is a type 3 transmembrane receptor for MGF (mast cell growth factor, also known as stem cell factor). Mutations in this gene are associated with gastrointestinal stromal tumors, mast cell disease, acute myelogenous lukemia, and piebaldism. Multiple transcript variants encoding different isoforms have been found for this gene. [provided by RefSeq, Jul 2008],
Product Citations
Product Citations
More Info
More Info
c-Kit (phospho Tyr936) rabbit pAb
c-Kit (phospho Tyr936) rabbit pAb
Vendor: ELK Biotechnology
SKU: ES6021
Regular price
$148.00
Sale price
$148.00
Regular price
Unit price
/per
Shipping calculated at checkout.
Documents
Available in stock (100)
×
Request a Quote
- Worldwide delivery & full concierge support
- AI Agent for guided support and curated product search
- Track Your Order Status Anytime
Couldn't load pickup availability
Limited time offer
Get $200 off when you spend $2,500 or more!
Product Overview
Product Overview
Applications
WB;IHC;IF;ELISA
Cellular localization
[Isoform 1]: Cell membrane; Single-pass type I membrane protein.; [Isoform 2]: Cell membrane; Single-pass type I membrane protein.; [Isoform 3]: Cytoplasm . Detected in the cytoplasm of spermatozoa, especially in the equatorial and subacrosomal region of the sperm head. .
Clonality
Polyclonal
Concentration
1 mg/ml
Cost per item
74
Geneid human
3815
Human swiss prot no
P10721
Immunogen
The antiserum was produced against synthesized peptide derived from human KIT around the phosphorylation site of Tyr936. AA range:906-955
Isotype
IgG
Observed band
145kD
Product weight
0.005kg
Reactivity
Human;Mouse
Recommended dilutions
Western Blot: 1/500 - 1/2000. Immunohistochemistry: 1/100 - 1/300. ELISA: 1/5000. Not yet tested in other applications.
Source
Rabbit
Storage
-20°C/1 year
Documents
Documents
Background
Background
This gene encodes the human homolog of the proto-oncogene c-kit. C-kit was first identified as the cellular homolog of the feline sarcoma viral oncogene v-kit. This protein is a type 3 transmembrane receptor for MGF (mast cell growth factor, also known as stem cell factor). Mutations in this gene are associated with gastrointestinal stromal tumors, mast cell disease, acute myelogenous lukemia, and piebaldism. Multiple transcript variants encoding different isoforms have been found for this gene. [provided by RefSeq, Jul 2008],
Product Citations
Product Citations
More Info
More Info
c-Kit (phospho Tyr936) rabbit pAb
Regular price
$148.00
Sale price
$148.00
Regular price
Unit price
/per

