Product Overview
Product Overview
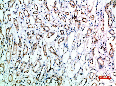
Applications
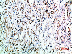
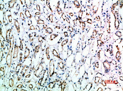
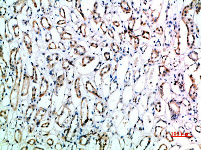
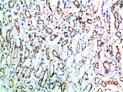
IHC;IF;ELISA
Cellular localization
Membrane; Multi-pass membrane protein.
Clonality
Polyclonal
Concentration
1 mg/ml
Cost per item
74
Geneid human
977
Human swiss prot no
P48509
Immunogen
Synthetic peptide from human protein at AA range: 91-140
Isotype
IgG
Product weight
0.005kg
Reactivity
Human;Mouse;Rat
Recommended dilutions
IHC-p 1:50-200, ELISA 1:10000-20000
Source
Rabbit
Storage
-20°C/1 year
Documents
Documents
Documents
Backgrond
Backgrond
The protein encoded by this gene is a member of the transmembrane 4 superfamily, also known as the tetraspanin family. Most of these members are cell-surface proteins that are characterized by the presence of four hydrophobic domains. The proteins mediate signal transduction events that play a role in the regulation of cell development, activation, growth and motility. This encoded protein is a cell surface glycoprotein that is known to complex with integrins and other transmembrane 4 superfamily proteins. It is involved in cellular processes including cell adhesion and may regulate integrin trafficking and/or function. This protein enhances cell motility, invasion and metastasis of cancer cells. Multiple alternatively spliced transcript variants that encode the same protein have been described for this gene. [provided by RefSeq, Jul 2008],
Product Citations
Product Citations
More Info
More Info
CD151 rabbit pAb
CD151 rabbit pAb
Vendor: ELK Biotechnology
SKU: ES8683
Regular price
$148.00
Sale price
$148.00
Regular price
Unit price
/per
Shipping calculated at checkout.
Documents
Available in stock (100)
×
Request a Quote
- Free Shipping over $2500
- AI AgentFor Any Questions or Product Search Help
- Track Your Order Status Anytime
Couldn't load pickup availability
Limited time offer
Get $200 off when you spend $2,500 or more!
Product Overview
Product Overview
Applications
IHC;IF;ELISA
Cellular localization
Membrane; Multi-pass membrane protein.
Clonality
Polyclonal
Concentration
1 mg/ml
Cost per item
74
Geneid human
977
Human swiss prot no
P48509
Immunogen
Synthetic peptide from human protein at AA range: 91-140
Isotype
IgG
Product weight
0.005kg
Reactivity
Human;Mouse;Rat
Recommended dilutions
IHC-p 1:50-200, ELISA 1:10000-20000
Source
Rabbit
Storage
-20°C/1 year
Documents
Documents
Documents
Backgrond
Backgrond
The protein encoded by this gene is a member of the transmembrane 4 superfamily, also known as the tetraspanin family. Most of these members are cell-surface proteins that are characterized by the presence of four hydrophobic domains. The proteins mediate signal transduction events that play a role in the regulation of cell development, activation, growth and motility. This encoded protein is a cell surface glycoprotein that is known to complex with integrins and other transmembrane 4 superfamily proteins. It is involved in cellular processes including cell adhesion and may regulate integrin trafficking and/or function. This protein enhances cell motility, invasion and metastasis of cancer cells. Multiple alternatively spliced transcript variants that encode the same protein have been described for this gene. [provided by RefSeq, Jul 2008],
Product Citations
Product Citations
More Info
More Info
CD151 rabbit pAb
Regular price
$148.00
Sale price
$148.00
Regular price
Unit price
/per

