Product Overview
Product Overview
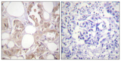
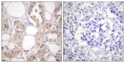
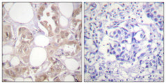
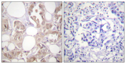
Applications
WB;IHC;IF;ELISA
Cellular localization
Nucleus . Cytoplasm . Cytoplasm, perinuclear region . Colocalizes with PRKCI in the cytoplasm and nucleus (PubMed:15695176). Translocates from the nucleus to cytoplasm and perinuclear region in response to DNA-bound peptides (PubMed:19071173). .
Clonality
Polyclonal
Concentration
1 mg/ml
Cost per item
74
Geneid human
1022
Human swiss prot no
P50613
Immunogen
The antiserum was produced against synthesized peptide derived from human CDK7 around the phosphorylation site of Thr170. AA range:136-185
Isotype
IgG
Observed band
40kD
Product weight
0.005kg
Reactivity
Human;Mouse
Recommended dilutions
Western Blot: 1/500 - 1/2000. Immunohistochemistry: 1/100 - 1/300. ELISA: 1/20000. Not yet tested in other applications.
Source
Rabbit
Storage
-20°C/1 year
Documents
Documents
Documents
Backgrond
Backgrond
cyclin dependent kinase 7(CDK7) Homo sapiens The protein encoded by this gene is a member of the cyclin-dependent protein kinase (CDK) family. CDK family members are highly similar to the gene products of Saccharomyces cerevisiae cdc28, and Schizosaccharomyces pombe cdc2, and are known to be important regulators of cell cycle progression. This protein forms a trimeric complex with cyclin H and MAT1, which functions as a Cdk-activating kinase (CAK). It is an essential component of the transcription factor TFIIH, that is involved in transcription initiation and DNA repair. This protein is thought to serve as a direct link between the regulation of transcription and the cell cycle. [provided by RefSeq, Jul 2008],
Product Citations
Product Citations
More Info
More Info
Cdk7 (phospho Thr170) rabbit pAb
Cdk7 (phospho Thr170) rabbit pAb
Vendor: ELK Biotechnology
SKU: ES4442
Regular price
$148.00
Sale price
$148.00
Regular price
Unit price
/per
Shipping calculated at checkout.
Documents
Available in stock (100)
×
Request a Quote
- Free Shipping over $2500
- AI AgentFor Any Questions or Product Search Help
- Track Your Order Status Anytime
Couldn't load pickup availability
Limited time offer
Get $200 off when you spend $2,500 or more!
Product Overview
Product Overview
Applications
WB;IHC;IF;ELISA
Cellular localization
Nucleus . Cytoplasm . Cytoplasm, perinuclear region . Colocalizes with PRKCI in the cytoplasm and nucleus (PubMed:15695176). Translocates from the nucleus to cytoplasm and perinuclear region in response to DNA-bound peptides (PubMed:19071173). .
Clonality
Polyclonal
Concentration
1 mg/ml
Cost per item
74
Geneid human
1022
Human swiss prot no
P50613
Immunogen
The antiserum was produced against synthesized peptide derived from human CDK7 around the phosphorylation site of Thr170. AA range:136-185
Isotype
IgG
Observed band
40kD
Product weight
0.005kg
Reactivity
Human;Mouse
Recommended dilutions
Western Blot: 1/500 - 1/2000. Immunohistochemistry: 1/100 - 1/300. ELISA: 1/20000. Not yet tested in other applications.
Source
Rabbit
Storage
-20°C/1 year
Documents
Documents
Documents
Backgrond
Backgrond
cyclin dependent kinase 7(CDK7) Homo sapiens The protein encoded by this gene is a member of the cyclin-dependent protein kinase (CDK) family. CDK family members are highly similar to the gene products of Saccharomyces cerevisiae cdc28, and Schizosaccharomyces pombe cdc2, and are known to be important regulators of cell cycle progression. This protein forms a trimeric complex with cyclin H and MAT1, which functions as a Cdk-activating kinase (CAK). It is an essential component of the transcription factor TFIIH, that is involved in transcription initiation and DNA repair. This protein is thought to serve as a direct link between the regulation of transcription and the cell cycle. [provided by RefSeq, Jul 2008],
Product Citations
Product Citations
More Info
More Info
Cdk7 (phospho Thr170) rabbit pAb
Regular price
$148.00
Sale price
$148.00
Regular price
Unit price
/per

